福州万象城AWC(中国)生物技术开发有限公司

万象城AWC(中国)

产品搜索
当前位置:万象城AWC(中国) > 新闻资讯 > 热点聚焦

一张图看懂——胃肠道腺瘤和良性上皮性息肉的病理诊断共识

发布时间:2020-3-11 17:17:10



导语:


随着纤维内镜技术的广泛应用,胃肠道息肉状病变的检出率明显提高,胃肠道息肉状病变活检或切除标本已成为病理科最常见的标本之一,胃肠道息肉状病变的种类繁多,如何能规范准确的进行胃肠道息肉状病变的病理诊断?中华医学会病理学分会消化疾病学组于2020新年之初发布了胃肠道腺瘤和良性上皮性息肉的病理诊断共识。

小编把胃肠道息肉状病变相关诊断共识梳理成图,在遇到相关病例时,希望能给大家进行清晰明了的判别带来帮助。



思维导图可点击放大查看


胃肠道病变亚型染色示意图:


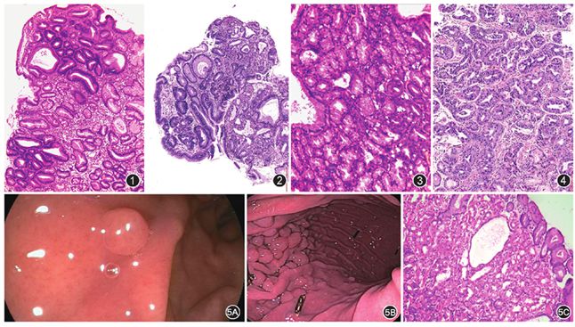
图1 胃肠型腺瘤 HE 低倍放大 

图2 胃小凹型腺瘤 HE 低倍放大 

图3 胃幽门腺腺瘤 HE 中倍放大 

图4 胃泌酸腺腺瘤 HE 中倍放大 

图5 胃底腺息肉,A和B:内镜下显示单发(A)或多发(B),表面光滑、广基的胃底腺息肉;C:泌酸腺体局限性增生 HE 中倍放大


图6 增生性息肉 HE 低倍放大 

图7A 结直肠普通型腺瘤 HE 低倍放大 

图7B 结直肠普通型腺瘤伴高级别异型增生HE 低倍放大 

图8 家族性腺瘤性息肉病,内镜下示结肠大量的腺瘤性息肉病变 

图9A 结直肠增生性息肉 HE 低倍放大 

图9B 结直肠增生性息肉,腔缘锯齿状结构 HE 中倍放大 

图10 结直肠广基(无蒂)锯齿状腺瘤/息肉 HE 低倍放大 左上角 HE 高倍放大


图12 广基(无蒂)锯齿状腺瘤/息肉(SSA/P)伴锯齿状异型增生,右侧可见典型的SSA/P倒T型腺体 HE 低倍放大 

图13 结直肠传统锯齿状腺瘤,显示绒毛状结构、胞质嗜酸性及异位隐窝形成 HE 低倍放大左下角 HE 高倍放大 

图14 结直肠炎性假息肉 HE 中倍放大 

图15 结直肠黏膜脱垂相关息肉 HE 中倍放大 

图16 孤立性幼年性息肉 HE 中倍放大

图17 Peutz‑Jeghers息肉 HE 中倍放大 

图18 Cronkhite‑Canada综合征息肉 HE 中倍放大


胃肠道病变很常见,但值得注意的是胃和结直肠增生性息肉的诊断标准和意义不同。胃的增生性息肉是一种胃黏膜损伤情况下发生的炎性息肉,而结直肠增生性息肉是一种锯齿状病变,有进展风险。因此在病理诊断工作中应提高警惕。