福州万象城AWC(中国)生物技术开发有限公司

万象城AWC(中国)

产品搜索
当前位置:万象城AWC(中国) > 新闻资讯 > 热点聚焦

这些抗体我全都要——间皮瘤免疫组化抗体的选择

发布时间:2020-8-14 11:54:22



导语:


适用于间皮瘤鉴别诊断的免疫组化抗体有许多种,现在的指南建议使用敏感性和特异性至少为80%的间皮和上皮标记物;在使用定位于细胞质和细胞膜的抗体时,应使用至少能达到10%的染色临界值的标记物。在诊断工作中,我们应该如何选用间皮瘤抗体呢?






间皮谱系标记物



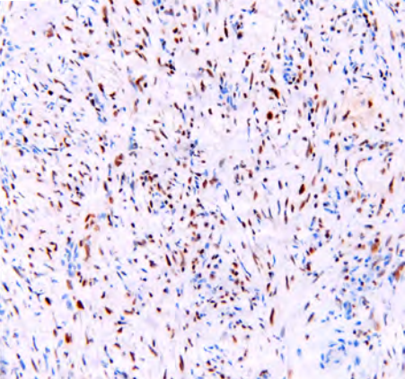
Calretinin可表达于上皮样恶性间皮瘤,敏感性为80%-100%,在肉瘤样间皮瘤中的敏感性一般为50%~60%。当Calretinin显示细胞质和细胞核双阳时,支持间皮谱系;而在缺乏核染色时,其特异性较低,此时应谨慎判读。Calretinin并非间皮细胞特异性标记物,其还表达于乳腺癌、鳞状细胞癌、卵巢浆液性癌,以及肉瘤样癌。Calretinin还可以表达于不到10%的肺腺癌和肾细胞癌,卵巢性索间质肿瘤和肾上腺皮质肿瘤也可以表达Calretinin。因此,在诊断间皮瘤时,Calretinin必须和其它标记物联合使用。

图1.Calretinin在上皮样恶性间皮瘤中的表达

CK5/6对间皮瘤的敏感性为51%~100%。但对肉瘤样间皮瘤敏感性低(13-29%),是鉴别间皮瘤和肺腺癌的良好标记物,后者阳性率小于20%(但一般<5%)。另外,CK5/6还表达于鳞状细胞癌、卵巢浆液性癌,乳腺癌(尤其基底细胞样亚型)和肺肉瘤。
WT-1对间皮瘤的敏感性为70%~100%,肉瘤样间皮瘤敏感性为10%~45%。WT-1定位于细胞核,在肺鳞状细胞癌、肺腺癌和肾细胞癌中的阳性率几乎为0。尽管有个别研究报道,WT-1在多达37%的三阴型乳腺癌中表达,但大量证据表明WT-1在乳腺癌中的阳性率仅为百分之几,并且通常为灶状弱阳性。由于WT-1是女性生殖道浆液性癌的经典标志物,在鉴别腹膜间皮瘤时,两者均可阳性,因此限制了它在腹膜部位肿瘤鉴别诊断中的作用。

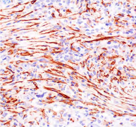
图2. D2-40在肉瘤样恶性间皮瘤中的表达

Podoplanin(经常被称为D2-40)是上皮样间皮病变的标记物,定位于细胞膜,阳性率为80-100%。D2-40是肉瘤样间皮瘤敏感标记物(约占90%),D2-40对间皮瘤并非完全特异性。它也在卵巢浆液性癌(约占13~65%),鳞状细胞癌(约占50%)中表达。肺腺癌则为阴性(判断阳性的标准必须是真正的细胞膜着色),但据报道,肺肉瘤样癌也可表达(25%~30%)D2-40。D2-40也表达于精原细胞瘤和血管肉瘤,但在实际工作中,很少会将它们与间皮瘤相鉴别。
HEG1是新近报道的间皮细胞标记物。HEG1为细胞质膜着色,对间皮谱系总体敏感度为92%~99%,特异性为83%~99%,因此HEG1的敏感性和特异性均高于Calretinin、D2-40和WT-1。此外,HEG1在与肺腺癌鉴别时,据报道其特异性为100%,但现在该抗体仅可在日本购买。
间皮谱系标记物还包括mesothelin, thrombomodulin, caveolin, tenascin-X, 以及III型 collagen。由于敏感性及特异性的原因,这些抗体在实际工作中不常用到。
 


上皮谱系标记物



如今看来,CEA,CD15,BG8和B72.8(也称为TAG-72或BRST3)这些上皮标记物似乎有点过时,但它们在鉴别上皮和间皮病变方面仍然很准确,但对于肉瘤样癌来说,敏感性不佳。

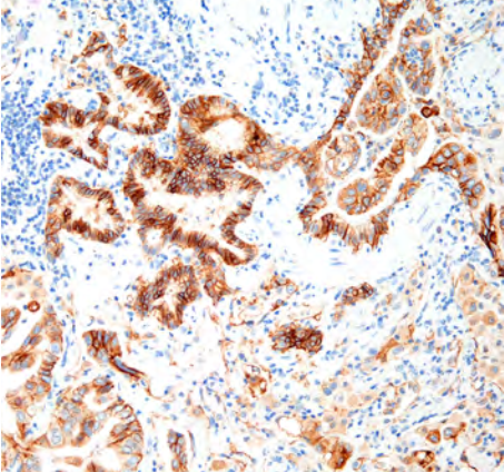
图3. MOC-31在肺腺癌中的表达


抗上皮细胞粘附分子(Ep-CAM)的两种抗体现在仍在广泛使用:Ber-EP4和MOC-31。这两种标记物定位于细胞质及细胞膜,它们可表达于肺腺癌、肺鳞状细胞癌,乳腺癌以及卵巢浆液性癌(敏感性为85%~100%)。约50%的肾细胞癌表达MOC-31和BER-EP4,从而限制了其与肾细胞癌鉴别诊断中的用途。此外,由于Ep-CAM在具有肉瘤样分化的细胞中会出现表达缺失,因此MOC-31和Ber-EP4对肉瘤样癌的敏感性较差(<30%)。BER-EP4对上皮谱系肿瘤的特异性为60%~100%,MOC-31则为90%~100%。尽管如此,偶有间皮瘤出现MOC-31和/或Ber-EP4的弥漫强阳性表达,因此,在实际工作中必须联用至少两个间皮标志物以及claudin-4。
抗上皮细胞粘附分子(Ep-CAM)的两种抗体现在仍在广泛使用:Ber-EP4和MOC-31。这两种标记物定位于细胞质及细胞膜,它们可表达于肺腺癌、肺鳞状细胞癌,乳腺癌以及卵巢浆液性癌(敏感性为85%~100%)。约50%的肾细胞癌表达MOC-31和BER-EP4,从而限制了其与肾细胞癌鉴别诊断中的用途。此外,由于Ep-CAM在具有肉瘤样分化的细胞中会出现表达缺失,因此MOC-31和Ber-EP4对肉瘤样癌的敏感性较差(<30%)。BER-EP4对上皮谱系肿瘤的特异性为60%~100%,MOC-31则为90%~100%。尽管如此,偶有间皮瘤出现MOC-31和/或Ber-EP4的弥漫强阳性表达,因此,在实际工作中必须联用至少两个间皮标志物以及claudin-4。

图4. claudin-4在肺腺癌中的表达

现在,越来越多的共识认为Claudin-4是现在诊断工作中最好的上皮细胞标记物。Claudin-4是构成细胞间紧密连接的重要蛋白分子,定位于细胞膜。其对上皮谱系肿瘤的敏感性为92%~100%,特异性为94%~100%。极少有间皮瘤表达Claudin-4,即便表达也只是显示细胞质内局灶性颗粒状着色(<10%的肿瘤细胞)。Claudin-4在浆膜腔积液细胞学标本中诊断精确度非常高。但有一研究显示claudin-4对肺肉瘤的敏感性为45%,特异性为100%。
在实际工作中,通常至少采用两个间皮谱系和两个上皮谱系标记物组成的免疫组化套餐,因此建议采用Calretinin,WT-1和/或D2-40,MOC-31和claudin-4。

图5. BAP1在间皮细胞乳头状增生中的表达

图6. BAP1在肉瘤样恶性间皮瘤中的表达

图7. BAP1在上皮样恶性间皮瘤中表达缺失


BAP1的表达缺失几乎总是见于恶性间皮瘤中,在鉴别肺癌、乳腺癌、胃癌或卵巢浆液性癌时具有诊断意义。偶有报道肺癌可出现BAP1缺失(仅占1%)。间皮瘤中BAP1的表达缺失最初是在土耳其卡帕多西亚的家族性间皮瘤易感性背景下描述的,此后BAP1胚系突变被认为是最常见的胸膜和腹膜间皮瘤的易感胚系突变,特别是在没有任何病史的年轻患者,既往无辐射或石棉接触史。BAP1表达缺失也有其缺点,它的敏感性较差。约50-65%胸膜间皮瘤存在BAP1的表达,包括上皮样间皮瘤(61-77%),双相性间皮瘤(33-49%),以及肉瘤样间皮瘤(0-22%)。腹膜间皮瘤BAP1表达缺失的敏感性为(55-67%)。因此在解释BAP1免疫组化结果时,应该结合临床资料和影像学结果。BAP1的表达缺失也见于其它肿瘤类型,例如肾细胞癌,因此并不能仅凭借BAP1草率地作出诊断。
使用免疫组化鉴别间皮瘤时会遇到很多陷阱。例如,PAX8通常被用于标记苗勒管源性、甲状腺和肾肿瘤,具有高度特异,但最近的研究表明,PAX8可在6%~18%的恶性腹膜间皮瘤中表达(某些病例甚至呈弥漫强阳性),分化良好的乳头状间皮瘤的阳性率为60%,1/3的腹膜反应性间皮细胞病变也可表达PAX8。在鉴别间皮瘤与苗勒管源性肿瘤时,PAX8发挥不了鉴别作用,反而会成为绊脚石,此时应加用ER、PR来帮助鉴别,ER、PR在腹膜间皮瘤的表达中均非常罕见(分别为<2%和<7%)。

图8. GATA3在恶性间皮瘤中的表达


肉瘤样癌和肉瘤样间皮瘤之间的鉴别诊断非常困难。PCK对肉瘤样间皮瘤和肉瘤样癌均具有约90%的敏感性,而其他间皮和上皮标记物在肉瘤样癌中的敏感性和特异性较差。最近的一项小型研究报道,在肺肉瘤样癌的鉴别诊断中,细胞核GATA3表达对肉瘤样间皮瘤具有100%的敏感性和85%的特异性;另一项在对肉瘤样间皮瘤的研究中发现,MUC4对肺肉瘤样癌的敏感性为72%,特异性为100%。这两项研究发现都具有重大意义。 
本文小结:间皮瘤免疫组化抗体套餐应至少包含两种间皮标记物(Calretinin、CK5/6,WT-1或D2-40)和两种上皮标记物(MOC-31和claudin-4),并根据鉴别诊断进行适当调整。



万象城AWC(中国)相关抗体



抗体名称

产品编号

克隆号

阳性部位

Calretinin*

MAB-0716

MX027

胞质

CK5/6*

MAB-0744

MX040

胞质

D2-40

MAB-0567

D2-40

胞质/胞膜

MOC-31

MAB-0280

MOC-31

胞膜

WT-1*

MAB-0678

MX012

胞核

*标为万象城AWC(中国)克隆产品  


参考文献:

1. David B Chapel, Jefree J Schulte, Aliya N Husain, et al. Application of Immunohistochemistry in Diagnosis and Management of Malignant Mesothelioma. Transl Lung Cancer Res,9 (Suppl 1), S3-S27Feb 2020

2. Husain AN, Colby TV, Ordonez NG, et al. Guidelines for Pathologic Diagnosis of Malignant Mesothelioma 2017 Update of the Consensus Statement From the International Mesothelioma Interest Group. Arch Pathol Lab Med 2018;142:89-108.