
导语:
BRAF V600E突变是最常见的BRAF基因突变位点,同时作为靶向治疗的标志物在多种实体肿瘤中具有重要的临床意义,临床也批准了多款BRAF抑制剂应用于黑色素瘤、结直肠癌等实体肿瘤。BRAF V600E在脑胶质瘤的多种亚型中有突变,鉴别、预后意义有限,但其与特定组织部位的关系对胶质瘤的诊断分类很重要。
BRAF V600E的概述
BRAF基因位于7q34,是RAF家族的成员之一,RAF家族还包括ARAF和RAFl( CRAF)基因,是RAS/RAF/MEK/ERK/MAPK通路重要的转导因子,参与调控细胞内多种生物学事件,如细胞生长、分化和凋亡等。在实体肿瘤中,BRAF突变的发生率最高,V600E替代约占突变的80%。BRAF-V600E突变可导致MAPK信号通路的持续性激活,引起肿瘤细胞分化增殖、代谢、生长的改变,简单说BRAF V600E是一个突变癌基因。
BRAF V600E的病理学意义
诊断与鉴别诊断:神经节胶质瘤、多形性黄原性细胞瘤和毛细胞星形细胞瘤中具有很强的诊断价值。
BRAF V600E是靶向治疗的标志物:BRAF基因突变患者可从靶向药物中获益。
BRAF V600E的检测
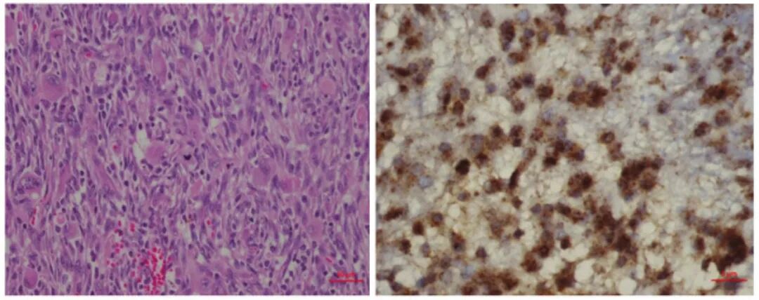
多研究表明在上皮样胶质母细胞瘤、多形性黄色瘤型星形细胞瘤等中BRAF V600E突变与IHC结果呈1:1对应关系。IHC法检测BRAF V600E的敏感度和特异性为94%。建议先用IHC检测,若结果为阴性患者,进一步行基因检测。

图1:BRAF V600E在胶质母细胞瘤中IHC染色示例(来源文献)
BRAF V600E与靶向治疗
BRAF V600E是靶向治疗的标志物,现在针对BRAF突变位点的抑制剂有MEK抑制剂和RAF抑制剂。已获NMPA批准的BRAF抑制剂有曲美替尼(MEK抑制剂)和达拉非尼、威罗非尼(RAF抑制剂)主要应用在甲状腺癌,非小细胞肺癌和黑色素瘤中。在胶质瘤的研究中,2017年,加拿大的一项研究发现,6名BRAF V600E突变的低级别儿童胶质瘤患者在常规治疗疾病进展后使用了BRAF抑制剂,响应显著,肿瘤缩小49%到80%。BRAF抑制剂联合特定的药物可能会使BRAF V600E突变的胶质瘤患者最大获益。现在正在进行的相关试验均将明确BRAF抑制剂联合放疗的治疗效果,我们只需静待佳音。
万象城AWC(中国)相关抗体
抗体名称 | 产品编号 | 克隆号 | 阳性部位 |
BRAF V600E | RMA-0839 | RM8 | 胞质 |
参考文献:
[1] 中国脑胶质瘤协作组,中国脑胶质瘤基因组图谱计划.中国脑胶质瘤分子诊疗指南[J].中华神经外科杂志,2014,30(5):435-444. DOI:10.3760/cma.j.issn.1001-2346.2014.05.002.
[2] 肿瘤资讯公众号文章;
[3] 高翔,罗林.胶质瘤中MGMT、BRAF和EGFR的变化及其治疗的研究进展.肿瘤药学[J],2016,6(1):21-25.
[4] Kleinschmidt-DeMasters, Aisner, Foreman,等. BRAFV600E突变的上皮样胶质母细胞瘤BRAFVE1免疫表达形式[J]. 临床与实验病理学杂志, 2015(11):1320-1320.
[5] Zeynep T , Melin G , Mustafa H , et al. BRAF V600E mutation and BRAF VE1 immunoexpression profiles in different types of glioblastoma[J]. Oncology Letters, 2018, 16:2402-2408.
[5] Michael K,Jian G,Adam L C,et al. New Molecular Considerations for Glioma: IDH, ATRX, BRAF, TERT, H3 K27M. Curr Neurol Neurosci Rep[J]. 2017 Feb;17(2):19. doi: 10.1007/s11910-017-0722-5.