福州万象城AWC(中国)生物技术开发有限公司

万象城AWC(中国)

产品搜索
当前位置:万象城AWC(中国) > 新闻资讯 > 热点聚焦

当心!MLH1纯粹的散在性点状核着色模式!

发布时间:2020-12-3 14:47:17



导语:


我们在临床病理工作中,通常会使用以下两种方法来对Lynch综合征患者的病理标本进行检测,即聚合酶链反应(PCR)的MSI检测,以及MMR蛋白的免疫组化分析。前者是运用PCR技术扩增微卫星重复序列,最常用的是Bethesda指南推荐的检测方案,对5个位点(NR-27、NR-24、NR-21、BAT-25和BAT-26)进行检测,5个中如果有2个或2个以上的点突变,则为高度微卫星不稳定状态,即MSI-H;5个中有1个点突变,则为MSI-L;5个位点均没有突变则认为微卫星稳定状态。后一种方法是使用免疫组化染色进行判断,常见的是MMR蛋白,即MLH1、MSH2,MSH6和PMS2,根据细胞核是否着色判断表达完整或缺失。

据报道,MSI测试和免疫组化分析的敏感性分别为77%至89%和83%,特异性分别为90%89%。两种方法之间的一致性率为97.5%,因此普遍认为MSI检测使用免疫组化法成本较低并且效果拔群



近期,Zhang等在国际外科病理学杂志(INT J SURG PATHOL)发表了一项研究。他们针对161例结直肠腺癌病例进行了MMR蛋白免疫染色,其中有11例(占6.8%)MLH1显示纯粹的散在性点状着色,另外13例(占8.1%)MLH1染色为阴性,这24例均与PMS2表达缺失有关。


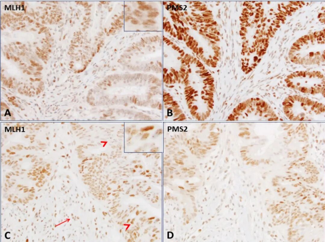
MMR功能正常的结直肠癌中的MLH1和PMS2染色
(图1A-1D)

图1A. 肿瘤细胞和内部对照(基质细胞)显示MLH1经典的弥漫性核着色

图1B. 肿瘤细胞和内部对照(基质细胞)显示PMS2经典的弥漫性核着色

图1C. 在另一病例中,肿瘤细胞(箭头和小方框)和内部对照(基质细胞,箭头)在弥漫性核背景下显示出MLH1的散在性点状染色模式

图1D. 与图1C同一病例,PMS2显示经典的弥漫性核着色


MMR缺陷型结直肠癌中的MLH1和PMS2染色

(图2A-2D)

图2A. 一例患者标本MLH1显示核染色完全缺失,在肿瘤细胞和内部对照(基质细胞)中检测不到MLH1

图2B. 与图2A同一患者标本,PMS2显示核染色完全缺失,在肿瘤细胞和内部对照(基质细胞)中检测不到PMS2

图2C.另一病例肿瘤细胞显示出纯粹的的散在性MLH1点状染色模式(箭头和小方框);内部对照(基质细胞)在弥漫性核染色的背景中(箭头)也显示散在性点状染色

图2D.与图2C同一病例,PMS2显示表达完全缺失


关于免疫组化方法检测MMR蛋白也曾有一些另类报道,例如在新辅助化疗后,患者会出现MSH6的核仁着色以及MSH6染色的缺失。美国的多个实验室都曾经观察到MLH1的散在性点状染色,在解释免疫组化结果时都比较混乱。Zhang等对这种染色模式进行了详细分析,他们发现这种染色模式在小活检标本中更为常见。具有MLH1纯粹的散在性点状着色的肿瘤,其总是与PMS2表达缺失有关,其中一些还包含分子方面改变,例如BRAF V600E突变或MLH1种系突变,符合错配修复MMR缺陷型。因此Zhang等认为,对于MLH1纯粹的散在性点状核染色,应将其解释为表达缺失,进一步的试验例如BRAF突变分析或MLH1基因启动子甲基化分析结果也与他们研究的结果一致。
小活检标本中MLH1离散点状着色出现的频率尚不清楚。众所周知,福尔马林固定不良会影响免疫组化染色。例如,为了评估乳腺癌中的激素受体和Her2 / neu的状态,美国病理医生推荐固定时间为6到72小时;但是对其它抗原来说,标本的最佳固定时间仍是个未知数。Zhang等基于2个随机良性病例的小型前瞻性研究结果表明,至少在测试的固定时间内(2-8小时),固定时间似乎对散在性点状着色没有影响。他们推测点状着色的染色模式可能与特定的MLH1抗体有关,该抗体已被验证并广泛用于美国多个病理实验室。
由于MSH2表达的缺失伴随着MSH6的表达缺失,MLH1的表达缺失伴随着PMS2表达的缺失,有一些研究小组建议使用两联标记法(MSH6和PMS2)替代经典的四联标记法(MSH2、MSH6,MLH1和PMS2)来筛查LYNCH综合征患者。他们认为两联抗体既经济又有效。两联标记法未使用MLH1,因此可以避免本文提到的这种虚假的染色模式。但在实际工作中,还是建议使用四联标记法测试其余2个标记物,因为在实际工作中可能会存在MSH6或PMS2的异常表达。最近有一项针对大量结直肠癌患者的研究表明,33例MSH2表达缺失的病例中,有11例存在明确的MSH6表达,因此也引起了很多人对两联标记法有效性的质疑。PMS2明确阳性、而MLH1却出现丢失的病例现在到底有多少仍然是个未知数,在既往的研究中也并未提及。
本文小结:MLH1的离散点状染色模式更常见于小活检标本中。这种染色模式与PMS2表达缺失相配对,并且有可能与BRAF V600E突变或MLH1种系突变相关,因此不应解释为完整的核表达。

 



万象城AWC(中国)MMR蛋白相关抗体



抗体名称

产品编号

克隆号

阳性部位

MLH1*

MAB-0838

MX063

胞核

MLH1

MAB-0789

ES05

胞核

MSH2*

MAB-0836

MX061

胞核

MSH6*

MAB-0831

MX056

胞核

PMS2*

MAB-0859

MX073

胞核

PMS2

RMA-0775

EP51

胞核

*标为万象城AWC(中国)克隆产品  

参考文献:

Zhang Q, Young GQ, Yang Z. Pure Discrete Punctate Nuclear Staining Pattern for MLH1 Protein Does Not Represent Intact Nuclear Expression. Int J Surg Pathol. 2020 Apr;28(2):146-152