福州万象城AWC(中国)生物技术开发有限公司

万象城AWC(中国)

产品搜索
当前位置:万象城AWC(中国) > 新闻资讯 > 热点聚焦

“迈迈”病理周读笔记第六期 | 上皮性肿瘤诊断免疫组化指标(三)

发布时间:2021-4-10 17:22:31



前言:


上一期文章中“迈迈”对上皮性肿瘤诊断免疫组化指标中黏蛋白、紧密连接蛋白(Claudin)进行了较为详细的编译和梳理,本期将重点介绍其他上皮标记,如:上皮特异性抗原、表皮相关抗原以及某些具有分化谱系特征的标记p63和p40等等



图片

上皮性肿瘤诊断免疫组化指标


四、其他上皮标记


1



上皮特异性抗原

上皮特异性抗原(epithelial specific antigen,CD326)也称为人类上皮抗原、上皮细胞黏附分子(epithelial cell adhesion molecule,EP-CAM),是一种跨膜糖蛋白,介导钙依赖性细胞-细胞黏附,并参与细胞信号转导、迁徙、增生、分化。

大部分正常上皮细胞均表达EP-CAM,但下述情况除外:鳞状上皮的表层及角质形成细胞、胸腺皮质上皮、肌上皮细胞、胃的壁细胞、肝细胞、肾脏近曲小管上皮细胞。间皮细胞一般也不表达EP-CAM,因此有助于肺腺癌和间皮瘤的鉴别、基底细胞癌(EP-CAM、Bcl-2阳性,EMA阴性)和鳞状细胞癌(EP-CAM、Bcl-2阴性,EMA阳性)的鉴别。此外,该指标还可用于肝细胞肝癌和其他肝脏其他类型癌的鉴别,前者一般不表达EP-CAM。

图片

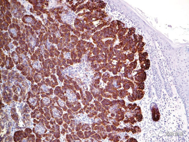
 图1. 基底细胞癌,EP-CAM强阳性表达。

 

需要注意的是,高达20%的间皮细胞和恶性间皮瘤可能会表达EP-CAM,但一般是局灶弱阳性,这在胸腔积液、腹腔积液鉴别诊断中必须引起注意。

 

阳性表达模式:细胞基底侧/胞质

推荐阳性质控组织:阑尾,基底细胞癌



2



表皮相关抗原

此处所述表皮相关抗原,是指表达于正常及肿瘤性腺上皮、临床检测最常用克隆号为MOC-31的跨膜糖蛋白。其特征与前述EP-CAM有相似之处,一般用于标记不同来源的上皮肿瘤,并鉴别转移癌和非典型间皮增生。此外,MOC-31在嫌色细胞肾细胞癌中阳性而透明细胞肾细胞癌中阴性。


3



p63/p40

p63又称为KET或p73L,属于p53基因家族成员之一。p63在复层上皮分化、细胞周期调节中发挥重要作用。

P63基因基因编码两个氨基末端有所不同的蛋白亚基,分别为TA和ΔN。其中ΔN亚基高表达于鳞状上皮和基底细胞。这一亚基可顺利获得p63抗体(克隆号4A4)或直接针对ΔNp63亚基的p40抗体标记,但对于鳞状细胞和基底细胞来说,后者似乎更为特异。这两种抗体都是鳞状细胞癌、基底细胞/肌上皮细胞及相关肿瘤的极好标记物,具体如前列腺和乳腺病变良恶性鉴别的时候,这两项指标非常有帮助。p63还可用于甲状腺滤泡亚型乳头状癌和其他良性滤泡性病变的鉴别:非乳头状癌的滤泡结构不表达p63。

图片

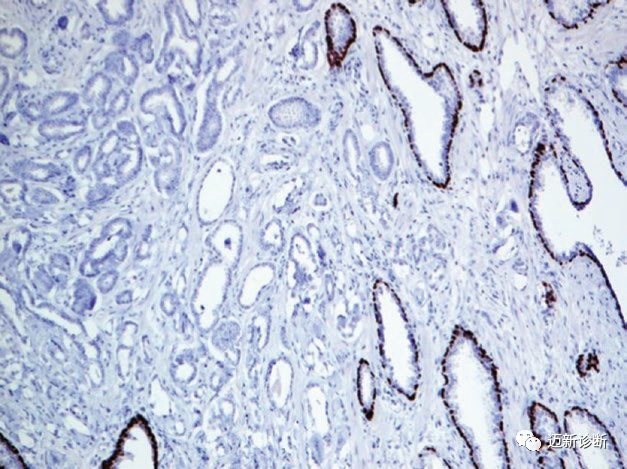
图2. 前列腺组织免疫组化p63,正常腺体周围有阳性着色,而肿瘤性腺体周围为阴性。

 

需要注意的是,肺腺癌中约30%会有p63的表达,尤其低分化腺癌;这种情况下可能同时会有TTF-1和/或Napsin A的表达缺失,因此可能会误判为鳞状细胞癌。由于p40在标记鳞状细胞和鳞状细胞癌方面特异性高于p63,因此强烈建议肺癌分类时用p40代替p63。
此外,部分软组织肿瘤会表达p63、但不表达p40,具体如Ewing肉瘤/PNET、真皮神经鞘黏液瘤(neurothecoma)、神经束膜瘤、骨巨细胞瘤、滑膜肉瘤、横纹肌肉瘤、恶性外周神经鞘瘤、骨外黏液软骨肉瘤。各种软组织肿瘤中p63的表达,被解读为肿瘤的上皮分化表现。

 

阳性表达模式:细胞核

推荐阳性质控组织:前列腺



4



CEA

癌胚抗原(carcinoembryonic antigen,CEA)是一种细胞表面糖蛋白,正常情况下表达于胎儿结肠的黏膜,在成人结肠黏膜表达程度稍弱。多种不同来源的癌中具有CEA的高表达,CEA阴性的肿瘤主要有:前列腺癌、子宫内膜样癌、肾细胞癌、卵巢浆液性肿瘤、肾上腺肿瘤、甲状腺滤泡癌及乳头状癌、间皮瘤。所以,间皮瘤与癌、宫颈管癌与子宫内膜样癌、甲状腺髓样癌与其他类型甲状腺癌的鉴别中,该指标很有帮助。

阳性表达模式:细胞质/细胞外

推荐阳性质控组织:结肠腺癌



5



EGFR

表皮生长因子受体(epidermal growth factor receptor,EGFR)是I型受体酪氨酸激酶家族成员之一,也是一种跨膜糖蛋白,正常情况下表达于多种正常上皮及非上皮细胞的细胞膜。EGFR分子由细胞外配体结合结构域、跨膜的亲脂区域、具有酪氨酸激酶活性的细胞内结构域。表皮生长因子及转化生长因子α可活化EGFR,参与多种细胞类型的发育。

以癌为主的多种不同来源肿瘤可见EGFR的表达或过表达,具体如乳腺、头颈部、肾脏、结肠、胰腺、卵巢、膀胱的癌。EGFR也可表达于很多非上皮性肿瘤,如胚胎性横纹肌肉瘤、子宫内膜间质肉瘤、胶质母细胞瘤。 
EGFR还是单克隆抗体靶向治疗的靶点之一,现在已批准用于EGFR阳性的肺、结直肠、头颈部癌治疗。对于相应治疗的敏感性评估,可以进行EGFR表达的半定量检测,具体可采用与HER2评估相同的三分级方案。此外,结直肠腺癌对于这一治疗的敏感性,取决于RAS基因为野生型;EGFR基因内有驱动突变的肺腺癌对于多种酪氨酸激酶抑制剂的治疗效果较好。

阳性表达模式:细胞膜/细胞质

推荐阳性质控组织:胎盘

1









迈迈:免疫组化抗体何其多,相信您有时候或可能手足无措。但只要您选择万象城AWC(中国),我们都将全力以赴、不辱使命。


抗体名称

克隆号

阳性对照

阳性部位

CEA*

MX068

肺腺癌、阑尾

胞质

EGFR

EP22

肺腺癌

胞膜/胞质

EGFR

SP111

肺腺癌

胞膜/胞质

EGFR

SP125

肺腺癌胞膜/胞质

EP-CAM*

MX066

肺腺癌、肾脏

胞膜

MOC-31
MOC-31肺腺癌、结肠腺癌
胞膜

p40

ZR8肺鳞癌、前列腺
胞核
p40*MXR010肺鳞癌、前列腺
胞核
p63*MX013前列腺增生、尿路上皮癌胞核

*标为万象城AWC(中国)克隆产品 



更多信息,请详询:800-8581156或400-889-9853