福州万象城AWC(中国)生物技术开发有限公司


万象城AWC(中国)

产品搜索
当前位置:万象城AWC(中国) > 新闻资讯 > 热点聚焦

“迈迈”病理周读笔记第九期 | 口腔肿瘤及涎腺肿瘤免疫组化标记

发布时间:2021-5-9 18:31:19



前言:


说起口腔及涎腺肿瘤类型,不少理不清记不住的名词总是扑面而来,颇有些剪不断理还乱的感觉。为便于记忆,本期的内容将对口腔及涎腺肿瘤的免疫组化指标进行归纳和总结,希望对于各位病理老师日常的工作有所助益。



图片


口腔肿瘤免疫组化标记


口腔肿瘤类型繁杂,但除个别肿瘤类型外,大部分均与其他部位相应肿瘤有显著重叠,如该部位的软组织肿瘤可参阅软组织部分。某些常见口腔肿瘤类型的免疫组化特点详见表1。

 

表1. 部分口腔肿瘤免疫组化指标总结

图片

(点击可查看大图)


涎腺肿瘤免疫组化标记


如口腔肿瘤一样,涎腺肿瘤也包括了诸多组织学类型,具体瘤种之间的免疫组化标记结果有显著差异,详见表2。

 

表2. 常见涎腺肿瘤免疫组化指标总结

图片

(点击可查看大图)

备注:

  1. 如所用抗体克隆号为MIB-1,则可能会出现不典型的细胞膜及胞质着色;

  2. 伴t(12;15)(p13;q25)易位的癌。

 

涎腺肿瘤免疫组化个别指标详解


1



CK

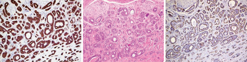
涎腺的腺体由腔面细胞(包括导管细胞及腺泡细胞)及肌上皮细胞构成,因此涎腺单位中细胞构成的不同、以及由这些细胞而发生的肿瘤类型不同,可分别表达不同的CK。高分子量CK(如CK5、CK10、CK14)可标记肌上皮及基底细胞,p63、actin、myosin等也可用于这些细胞的标记。最近还有研究表明,SOX10可标记肌上皮。CK7可标记腺泡细胞及导管细胞。

图片

图1. 腺样囊性癌中不同细胞的CK表达:左侧为CK7,在导管腔面细胞均为阳性;右侧为p63,仅基底细胞为阳性。

 


2



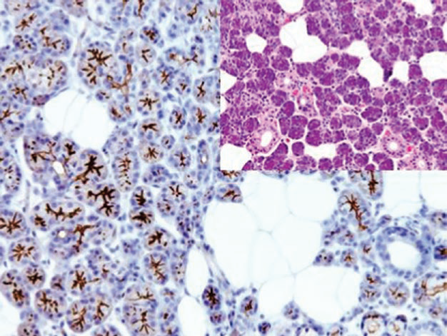
DOG-1

DOG-1是一种跨膜的氯通道蛋白,高表达于胃肠道Cajal细胞及该细胞来源的胃肠道间质瘤,同时也表达于涎腺、胰腺正常浆液及黏液腺泡细胞的顶端。因此DOG-1可用于涎腺腺泡细胞癌的诊断。同时该指标还可表达于部分多形性低级别腺癌、腺样囊性癌、上皮-肌上皮癌。

图片

图2. 腮腺腺泡细胞顶端表面表达DOG-1。

 


3



α-淀粉酶

α-淀粉酶催化较大糖分子裂解为低聚糖,而该酶是在涎腺及胰腺的腺泡细胞合成的。免疫组化检测中,淀粉酶抗体可用于涎腺和胰腺腺泡细胞癌的特异性标记,而涎腺的其他类型肿瘤一般为阴性。

1









迈迈:“ DOG1是由位于染色体11q13的TMEM16A基因编码的一种钙离子调节相关的氯离子通道蛋白。选择性地表达于胃肠道间质瘤(GIST),与CD117相比,无论对于具有C-kit基因突变还是PDGFR-α基因突变的GIST,DOG1都是GIST更加敏感和特异的标记物。”

抗体名称

克隆号

阳性对照

阳性部位

DOG1*

MX067

胃肠道间质瘤

胞膜/胞质

DOG1

SP31

胃肠道间质瘤

胞膜/胞质



*标为万象城AWC(中国)克隆产品


更多信息,请详询:800-8581156或400-889-9853