
胃肠道肿瘤免疫组化标记:间叶性肿瘤
表1. 胃肠道间叶性肿瘤免疫组化指标概述

备注
呈上皮样形态的胃肠道间质瘤一般CD117为阴性;
CD117阴性胃肠道间质瘤中,PDGFR-α阳性;
细胞核及胞质着色。

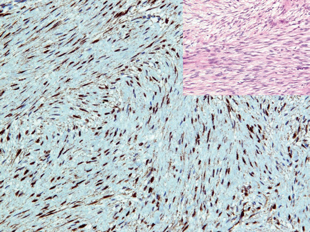
图1. 肠系膜纤维瘤病,β-catenin在细胞核强阳性表达。
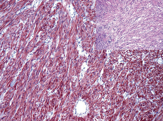
CD117是酪氨酸激酶生长因子受体III家族成员,具体由细胞外结构域、跨膜结构域、细胞内激酶区三部分构成。该家族成员还有PDGFR-α、巨噬细胞集落刺激因子、FMA样酪氨酸激酶3。正常情况下,CD117的活化发生于干细胞因子结合以后,参与造血细胞、肥大细胞、生殖细胞、黑素细胞(melanocytes)、肠道Cajal细胞的分化;因此日常工作中,CD117的表达范围非常广泛,可用作多种肿瘤的诊断标记,如精原细胞瘤、肥大细胞瘤、慢性及急性髓细胞性白血病、胸腺瘤、腺样囊性癌、部分急性T淋巴细胞白血病、多种恶性黑色素瘤。CD117的表达可见于90%以上的胃肠道间质瘤;约80%的胃肠道间质瘤具有c-Kit基因的单个或多个活性突变,主要位于11号外显子,少见情况下可见于9号、13号、17号外显子。CD34及DOG1的共表达也是该肿瘤特征性免疫组化表现。5-8%的胃肠道间质瘤还会有PDGFR-α基因的突变,且一般CD117阴性;这类肿瘤常呈上皮样形态,且免疫组化多为PDGFR-α和/或DOG1的阳性。
图2. 胃肠道间质瘤,CD117强阳性。
阳性表达模式:细胞膜/胞质
推荐阳性质控组织:脑组织
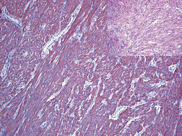
DOG1是一种跨膜的氯离子通道蛋白,高表达于胃肠道的Cajal细胞。该指标对于胃肠道间质瘤高度特异,阳性率可达90%以上。不过,DOG1与CD117在胃肠道间质瘤的表达具有高度一致性,但前者在精原细胞瘤、髓细胞相关肿瘤、肥大细胞肿瘤并不表达。DOG1还有助于涎腺腺泡细胞癌与其他形态相似腺癌的鉴别,但不能用于和胆管-胰腺腺癌的鉴别。
图3. 胃肠道间质瘤,DOG1强阳性。
高达50%的胃肠道肌壁间平滑肌瘤会低水平表达DOG1,但该肿瘤一般强阳性表达Actin、h-caldesmo,可供鉴别。
阳性表达模式:细胞膜/胞质
推荐阳性质控组织:胃肠道间质瘤
PDGFR-α是一种酪氨酸激酶受体,也是III型酪氨酸激酶受体家族成员之一,与不同类型组织的胚胎发育及免疫应答有关。如前所述,PDGFR-α是CD117阴性胃肠道间质瘤中的重要标记,因为CD117阴性胃肠道间质瘤中有PDGFR-α基因的活化突变,而CD117阳性胃肠道间质瘤中一般并无PDGFR-α的表达。PDGFR-α免疫组化结果解读时,一定要考虑到部分韧带样瘤(desmoid tumors)也会有该指标的阳性表达。正常情况下,PDGFR-α还表达于神经节细胞、施万细胞、甲状腺滤泡细胞、精原细胞。
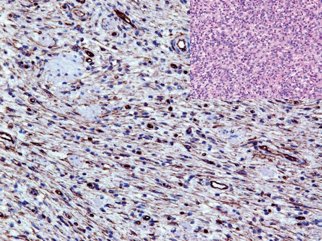
CD34是一种细胞表面黏附糖蛋白,一般视为血管内皮标记。CD34可表达于大部分胃肠道间质瘤,但并无特异性,因此必须与DOG1和CD117联合应用。对于胃肠道间质性肿瘤来说,CD34还可表达于胃肠道炎性纤维性息肉(inflammatory fibroid polyp)中的间质细胞。
图4. 胃肠道炎性纤维性息肉中的间质细胞表达CD34。
迈迈:”CD34主要表达于未成熟的造血干细胞、髓样细胞和血管内皮细胞。可以识别内皮细胞分化,但识别血管的敏感性与肿瘤分级无关,85%以上的血管肉瘤和卡波西肉瘤CD34阳性表达,与CD117联合应用于胃肠道间质瘤的诊断。结合上文提到的,DOG1选择性地表达于胃肠道间质瘤(GIST),与CD117相比,无论对于具有C-kit基因突变还是PDGFR-α基因突变的GIST,DOG1都是GIST更加敏感和特异的标记物。”
抗体名称 | 克隆号 | 阳性对照 | 阳性部位 |
CD34 | QBEnd/10 | 血管瘤、肝脏
| 胞膜/胞质 |
CD117 | YR145 | 胃肠道间质瘤、精原细胞瘤 | 胞膜/胞质 |
DOG1* | MX067 | 胃肠道间质瘤
| 胞膜/胞质
|
DOG1 | SP31 | 胃肠道间质瘤 | 胞膜/胞质 |
更多信息,请详询:800-8581156或400-889-9853