表1. 肾脏肿瘤常用免疫组化指标

备注:
细胞核着色及胞质顶端着色;
胞质着色;
侵袭性肿瘤中为阳性。

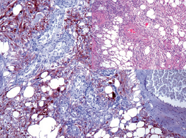
图1. 肾脏血管平滑肌脂肪瘤中,血管周围上皮样细胞表达HMB45。
阳性表达模式:细胞核
推荐阳性质控组织:甲状腺组织
Pax-8是一种转录因子,属于配对盒(paired box,PAX)家族成员之一。功能上,Pax-8涉及胎儿中枢神经系统、眼、内耳、甲状腺、肾脏、上尿路系统、Mullerian源性器官、中肾管来源器官的发育。正常组织中,Pax-8高表达于甲状腺滤泡细胞、甲状旁腺细胞、输卵管非纤毛细胞、输卵管黏膜、肾小管。因此,这些组织来源的肿瘤一般也表达Pax-8。
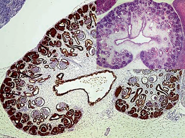
图2. 胚胎12周的肾脏,Pax-8在肾脏集合系统及肾盂处尿路上皮阳性表达。
甲状腺滤泡癌、甲状腺乳头状癌高表达Pax-8,而髓样癌中则为阴性。肾脏肿瘤中,透明细胞、乳头状、嫌色细胞的肾细胞癌均为Pax-8阳性,大部分集合管癌和嗜酸细胞瘤阳性,约50%的肉瘤样肾细胞癌阳性,但肾母细胞瘤中阴性。卵巢肿瘤中,Pax-8高表达于浆液性癌、子宫内膜样癌、透明细胞癌,黏液性癌一般为阴性。胰腺、胃十二指肠、阑尾、直肠来源的高分化神经内分泌肿瘤中,Pax-8也有不同比例的阳性表达。如前所述,Pax-8表达于多种肿瘤,因此临床实践中一般需联合其他指标一起应用。对于证实为卵巢癌来说,需采用Pax-8、WT-1再加两种CK。肾盂移行细胞癌中,约23%的病例会有Pax-8的阳性表达,这在与肾脏原发肿瘤鉴别时必须注意。Pax-8在排除肺腺癌、乳腺癌方面很有帮助,因为这两种肿瘤一般并不表达该指标,却分别表达TTF-1、GATA-3。临床应用中还要注意B细胞会表达Pax-8,这一特点也可以用作阳性内对照。
Pax-2与Pax-8有诸多相似之处,如均为配对盒家族成员的转录因子,均与肾脏发育有关,但其涉及的时间段稍晚于Pax-8。Pax-2的表达范围较宽泛,可见于大部分肾细胞癌(嫌色细胞癌除外)、Mullerian源性肿瘤,后者如卵巢癌、子宫内膜样癌、宫颈管癌。该指标还可表达于乳腺小叶癌、肝细胞癌、附睾肿瘤、Merkel细胞癌。Pax-2可用于宫颈腺体良性增生和宫颈管腺癌的鉴别,前者为阳性而后者一般为阴性。Pax-2还表达于甲状旁腺细胞和甲状旁腺肿瘤,而甲状腺组织和甲状腺癌中一般为阴性。与Pax-8类似,B细胞及相关淋巴瘤中Pax-2也为阳性。
阳性表达模式:细胞膜/细胞质
推荐阳性质控组织:肾组织或肾细胞癌
RCC是一种糖蛋白,表达于近端肾小管的刷状缘,但其他部分并不表达。原发肾细胞癌中这一指标的阳性率约为90%,转移性肾细胞癌中的阳性率常较低;具体瘤种包括透明细胞肾细胞癌、嫌色细胞肾细胞癌、乳头状肾细胞癌,其中透明细胞肾细胞癌的阳性率最高。集合管癌、肉瘤样(梭形细胞)癌、嗜酸细胞瘤、中胚层肾瘤、肾母细胞瘤、移行细胞癌均为RCC阴性。罕见情况下,RCC偶可表达于肾细胞癌之外的肿瘤,如原发或转移的乳腺癌、胚胎性癌、甲状旁腺腺瘤,鉴别诊断时应予注意。CD10的具体细节,将在淋巴瘤部分详述。对于肾细胞肿瘤来说,CD10有助于鉴别诊断:透明细胞肾细胞癌、乳头状肾细胞癌、集合管癌中,大部分病例的CD10为典型的胞质顶端阳性,嫌色细胞肾细胞癌中一般为阴性,而后者CD117阳性。
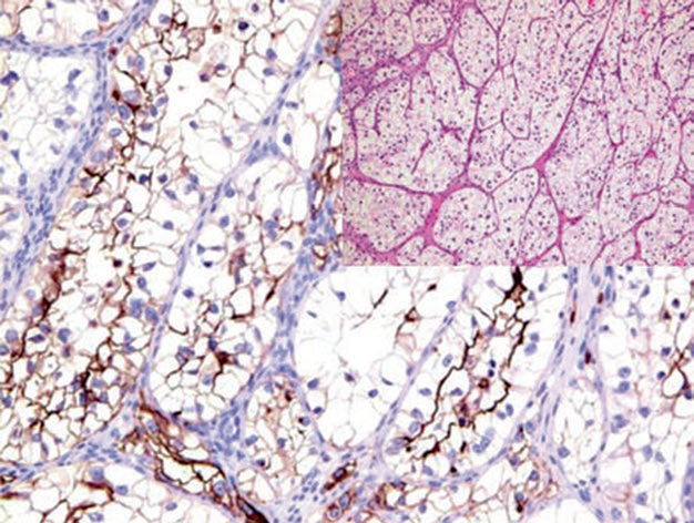
图3. 透明细胞肾细胞癌,免疫组化CD10阳性,且为细胞膜的胞质顶端侧着色。
CD10也可表达于其他形态学相似的肿瘤中,如肾上腺皮质肿瘤、肝细胞肝癌;不过,后者病变表达Pax-8。Paxillin是一种细胞骨架蛋白,与局部黏附复合物的形成有关,广泛表达于上皮、神经、间质细胞。临床实践中,Paxillin有助于鉴别嫌色细胞肾细胞癌、肾脏嗜酸细胞腺瘤和透明细胞肾细胞癌、乳头状肾细胞癌,前两者为阳性而后两者为阴性。不过,该指标也并非肾细胞癌所特有,可表达于乳腺癌、肺癌、肝癌等多种其他肿瘤。阳性表达模式:细胞膜
推荐阳性质控组织:肾细胞癌
碳酸酐酶IX(carbonic anhydrase IX,CA IX)是碳酸酐酶家族成员之一,催化二氧化碳的水合作用。CA IX是一种跨膜同工酶,在肾细胞增生、细胞黏附、细胞内及细胞外pH值调节方面发挥作用。正常情况下,CA IX的表达受野生型von Hippel-Lindau蛋白的抑制,因此正常肾组织CA IX为阴性;组织恶性转化过程中出现CA IX的表达,在透明细胞肾细胞癌、乳头状肾细胞癌中显著阳性。小活检标本中,免疫组化CA IX有助于结果的判定;同时该指标可用于良性肾囊肿(一般为阴性)和囊性肾细胞癌(一般为阳性)的鉴别。嫌色细胞肾细胞癌、肾脏嗜酸细胞腺瘤一般为阴性。
图4. 透明细胞肾细胞癌中,CA IX阳性;注意,图中可见该指标的阳性表达局限于肿瘤区,正常肾组织为阴性。
CA IX并非肾细胞肿瘤所特有指标,多种不同来源的肿瘤可见不同水平的表达,具体如肺癌、食管癌、肾脏移行细胞癌、乳腺癌、神经内分泌肿瘤、宫颈鳞状细胞癌及高级别上皮内瘤变、子宫内膜癌、胚胎性癌、间皮瘤、Sertoli细胞瘤、肾上腺皮质癌。
人肾损伤分子-1(human kidney injury molecule-1,KIM-1)又称为甲肝病毒细胞受体1(hepatitis A cellular receptor 1),属于I型跨膜糖蛋白,在正常肾组织一般并无表达,但可表达于急性或慢性毒性、缺血性损伤后的近曲小管上皮细胞,也可表达于多种肾细胞癌中。肾外肿瘤中,KIM-1阳性可见于卵巢和子宫的透明细胞癌、肝细胞癌、部分结直肠癌、生殖细胞肿瘤,而这些病种的形态学都与透明细胞肾细胞癌有相似之处。
TFE-3是由Xp11.2位点上基因编码的转录因子。该指标会与调节巨噬细胞分化、破骨细胞分化、增殖的其他转录因子反应,同时与B细胞活化有关。肾细胞癌中,某些罕见类型会伴有t(X;17)易位,从而导致该转录因子高表达,这可视为Xp11.2易位相关肾细胞癌的特异性免疫组化标记。TFE-3的过表达,也是腺泡状软组织肉瘤的特征性表现,这也是由于该易位导致的。
迈迈:“CA IX主要用于肾透明细胞癌的诊断,也表达于乳腺癌、宫颈鳞癌、鼻咽癌、膀胱癌、肺小细胞癌和一些深部软组织大细胞肿瘤预后差的病例中,对于这部分恶性肿瘤预后具有重要提示意义。而上文中详诉了CD10、RCC、Pax-2、Pax-8在肾细胞肿瘤鉴别诊断中的应用,但除此之外,CD10还在淋巴瘤的诊断中发挥重要作用,我们将在后续的文章中进行介绍,而Pax-2、Pax-8在女性生殖道肿瘤诊断发挥着重要作用,您可详见往期推文。”
抗体名称 | 克隆号 | 阳性对照 | 阳性部位 |
CA IX | 多克隆 | 肾透明细胞癌、肝脏
| 胞膜 |
CD10* | MX002 | 扁桃体、肾脏 | 胞质/胞膜 |
Pax-2 | EP235
| 肾透明细胞癌、输卵管
| 胞核
|
Pax-8* | MX062 | 肾透明细胞癌、输卵管 | 胞核 |
RCC | PN-15
| 肾组织、肾母细胞瘤
| 胞膜/胞质
|
更多信息,请详询:800-8581156或400-889-9853