福州万象城AWC(中国)生物技术开发有限公司


  • 万象城AWC(中国)

    产品搜索
    当前位置:万象城AWC(中国) > 新闻资讯 > 热点聚焦

    “迈迈”病理周读笔记第二十二期 | 垂体及肾上腺肿瘤诊断免疫组化指标概述

    发布时间:2021-8-6 18:03:12



    前言:


    垂体及肾上腺肿瘤都为内分泌系统肿瘤,组织学病理分型也多种多样。免疫组化对于该组肿瘤的明确诊断意义显著。



    图片

    垂体肿瘤诊断免疫组化概述

    对于垂体肿瘤诊断过程中的免疫组化检测来说,第一时间要注意垂体可分为腺垂体(即垂体前叶)和神经垂体(即垂体后叶);这两个部位好发的肿瘤类型有显著不同,因此其免疫组化指标的选择也有诸多差异。
     
    表1. 腺垂体肿瘤诊断免疫组化特点概述

    图片

    (点击可查看大图)

    表2. 神经垂体肿瘤及其他肿瘤免疫组化特点概述

    图片

    (点击可查看大图)


    对于腺垂体来说,常用免疫组化指标有前述神经内分泌标记、某些CK、垂体激素;前两者内容在其他章节已有详述,本期重点关注垂体激素相关问题。对于神经垂体来说,常用免疫组化指标有GFAP、S100、TTF-1,前两者将在中枢神经系统相关章节学习,本期简单介绍TTF-1相关问题。


    垂体激素指标详解


    从功能角度来说,腺垂体的细胞可分为至少五种类型,分别为α、β、δ、γ、ε。不同的细胞产生不同的激素,大部分情况下一种细胞只产生一种激素。其实现在关于垂体腺瘤的分类也是根据相关腺瘤细胞的激素活性区分,这也是针对垂体激素及激素前体分子相关抗体免疫组化的用武之地。
     
    1. 生长激素(growth hormone,GH):其功能为刺激胰岛素样生长因子-1的释放,后者促进长骨生长;

    2. 催乳素(prolactin,PRL):针对这一激素的抗体会标记产催乳素的正常及肿瘤性细胞;需要注意的是,产催乳素细胞也可见于前列腺;

    3. 促甲状腺激素(thyroid-stimulating hormone,TSH):该激素由α及β亚基构成,在甲状腺内调节T4的产生;

    4. 促肾上腺皮质激素(adrenocorticotropic hormone,ACTH):该激素的作用靶点是肾上腺皮质细胞;不过这一激素除了在腺垂体中合成外,应激状态下还可由巨噬细胞及淋巴细胞合成。免疫组化层面,肺部小细胞癌也可表达ACTH;

    5. 卵泡刺激素(follicle stimulating hormone,FSH):该激素也由α和β两条链构成,调节卵泡生成、精子发生、Sertoli细胞的增生;

    6. 黄体生成素(luteinizing hormone,LH):该激素由α、β两条链构成,调节卵泡生成,并调节Leydig细胞中睾酮的产生;

    7. α亚基(α-hormone subunit,α-SU):垂体激素里面,所有的糖蛋白激素均由相同的α链、有一定差异的β链构成。α亚基的表达可见于大部分产TSH、FSH、LH的腺瘤中;不过也有部分垂体腺瘤仅表达α亚基。

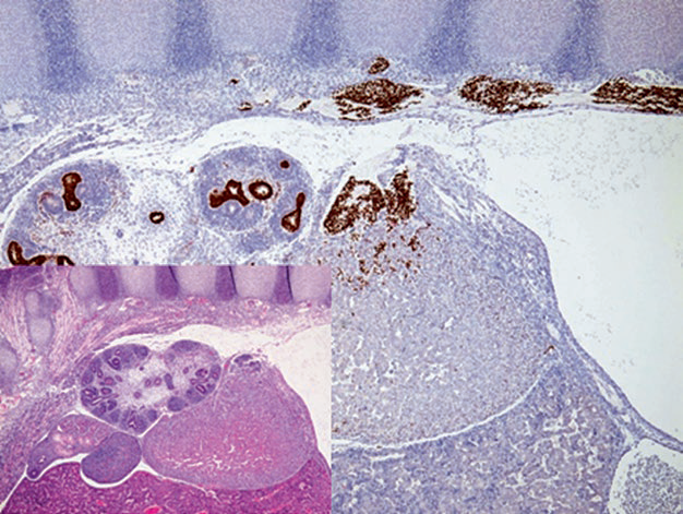
    8. TTF-1:肺肿瘤及后述甲状腺肿瘤中,对该指标有详尽介绍。神经垂体中也会表达TTF-1,因此,该指标可作为来自神经垂体中相关细胞肿瘤的标记,如垂体细胞瘤、鞍区颗粒细胞瘤。这些肿瘤同时并不表达CK,这在鉴别诊断中是非常关键的一点。

    图片

    图1. 神经垂体中的细胞表达TTF-1。

    图片
    肾上腺肿瘤诊断免疫组化指标概述

    肾上腺与垂体有某些相似之处,比如垂体分为腺垂体和神经垂体,而肾上腺也可以分为皮质和髓质两部分,且不同区域的肿瘤类型有差异。不过,部分发生于肾上腺外的肿瘤类型与肾上腺肿瘤有相似之处,如肾上腺外副节瘤与肾上腺嗜铬细胞瘤之间具有相关性,因此也纳入本章一起学习。
     
    表3. 肾上腺肿瘤及相关肿瘤免疫组化特点概述

    图片

    (点击可查看大图)

    备注:
    1. 支持细胞中细胞核强阳性;

    2. 不能完全根据该标准确定恶性诊断。


    i.肾上腺皮质肿瘤

    诊断常用免疫组化指标有:SF-1、DAX-1、inhibin、Melan A、calretinin、Syn、podoplanin、WT-1。一般说来,Syn、Melan A、inhibin、D2-40、calretinin阳性且有vimentin、CK5的共表达,则支持肿瘤为肾上腺皮质来源。



    部分指标详解



    01

    SF-1

    阳性表达模式:细胞核
    推荐阳性质控组织:肾上腺
     
    类固醇因子-1(steroid factor 1,SF-1)属于孤儿核受体(orphan nuclear receptor)家族成员,属于调节类固醇激素生成的转录因子。正常情况下,表达于肾上腺皮质、垂体腺、Sertoli细胞及这些细胞来源的多种肿瘤。肾细胞癌、肝细胞癌、恶性黑色素瘤、嗜铬细胞瘤则总是阴性。
    需要注意的是,转移性肾上腺皮质癌的诊断必须结合临床及其他相关信息,因为性索间质肿瘤在形态学和免疫组化方面可能会和肾上腺皮质肿瘤非常相似。



    02

    DAX-1

    阳性表达模式:细胞质

    推荐阳性质控组织:阑尾

     

    DAX-1也是孤儿核受体家族成员之一,这一核受体蛋白的功能是抑制前述SF-1的功能、从而抑制肾上腺皮质中类固醇激素的产生。此外,DAX-1在下丘脑-垂体-肾上腺-性腺轴(hypothalamic-pituitary-adrenal-gonadal axis)发育、骨母细胞分化中具有持续作用。
    DAX-1的表达仅限于产类固醇激素的细胞,如肾上腺皮质、垂体、下丘脑、睾丸、卵巢等处的相关细胞。与SF-1相似,DAX-1是肾上腺皮质肿瘤及卵巢、睾丸、乳腺中某些肿瘤的标记。需要注意的是,由于Ewing肉瘤相关的遗传学异常(EWS/Fli-1易位)促进了DAX-1的表达,因此该指标也可作为Ewing肉瘤的特异性指标。

    图片


    03

    Inhibin

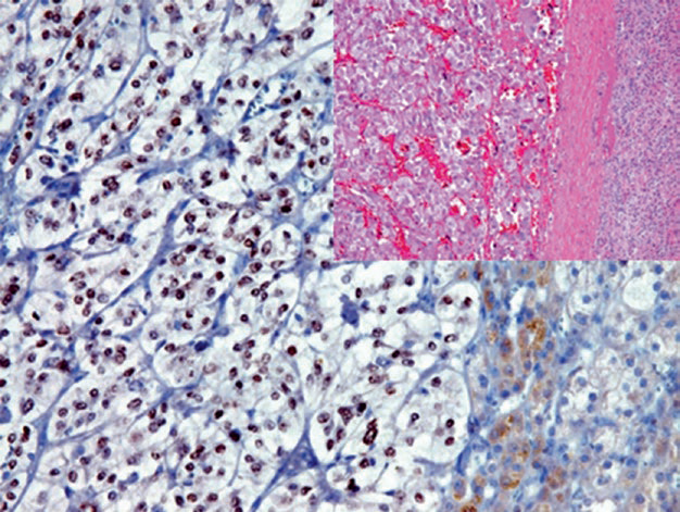
    前述性索肿瘤章节对该指标已有描述。正常情况下,inhibin表达于性腺及肾上腺,不过肾上腺中表达最强的部位是肾上腺皮质的束状带、网状带,肾上腺髓质并不表达。因此除了前述睾丸和卵巢的性索肿瘤外,inhibin也是良性及恶性肾上腺皮质肿瘤的重要标记。

    图片

    图2. 肾上腺皮质腺瘤,inhibin在胞质阳性。


    ii.肾上腺髓质肿瘤、神经母细胞瘤及肾上腺外副节瘤
    常用免疫组化标记有:CgA、Syn、CD56、NSE、S100、GATA-3,这些指标大部分在其他相应章节均有详述;此外还有NB84、PGP9.5、CD117、NF等。

    图片

    图3. 嗜铬细胞瘤,免疫组化CD56(左)、Syn(右)均为强阳性表达。



    部分指标详解



    01

    NB84

    阳性表达模式:细胞膜

    推荐阳性质控组织:神经母细胞瘤

     

    NB84是一种位于人神经母细胞瘤细胞上的膜抗原,免疫组化中的阳性率在分化型神经母细胞瘤约为100%,在未分化型神经母细胞瘤约为90%。相比Syn来说,NB84更为敏感,但特异性差。对肾上腺及肾上腺外相关肿瘤的诊断来说,建议联合采用上述指标中的三至四种进行标记。
    需要注意的是,与神经母细胞瘤形态学类似的肿瘤也可出现NB84的阳性,具体如PNET、促结缔组织增生型小圆细胞肿瘤。要排除这些肿瘤,免疫组化检测指标中应加入CD99及CK。还要注意前述提到的:少数未分化型神经母细胞瘤并不表达NB84。

    图片


    02

    GATA-3

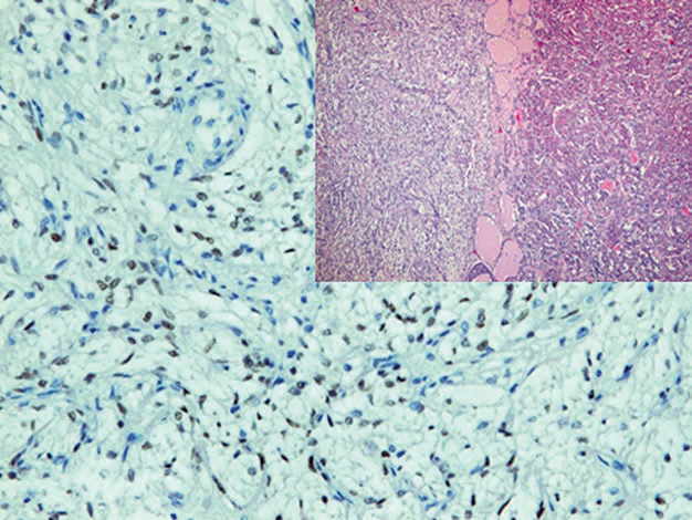
    本系列文章此前对这一指标已有描述,具体可表达于乳腺、涎腺、甲状旁腺及尿路上皮的肿瘤。对于肾上腺来说,GATA-3强阳性表达于胎儿交感神经母细胞(fetal sympathicoblast)、肾上腺髓质中的嗜铬细胞、交感神经母细胞来源的交感神经副神经节(sympathetic paraganglia),因此GATA-3是肾上腺髓质肿瘤、肾上腺外副神经节肿瘤的标记,如嗜铬细胞瘤、神经母细胞瘤。

    图片

    图4. 12周胚胎组织切片,免疫组化GATA-3标记椎旁神经嵴中的交感神经母细胞。这些细胞会迁徙入原始肾上腺的背内侧、形成肾上腺髓质;GATA-3还可标记肾脏集合系统中的尿路上皮。

    图片

    图5. 嗜铬细胞瘤,瘤细胞的胞核表达GATA-3。

    图片

    图6. 肾上腺活检一例,神经母细胞瘤的细胞核表达GATA-3。

     

    需要注意的是,肾上腺皮质及肾上腺皮质的肿瘤也可出现GATA-3的极低水平表达。








    迈迈推荐:“形态的基础上,选择充分且合理的免疫组化标记抗体,对于肿瘤的精准诊断以及临床治疗、预后评估都有着重要的价值,但一支“好的抗体”是这一切前提和基础。

    抗体名称

    克隆号

    阳性对照

    细胞定位

    GATA-3

    L50-823

    尿路上皮癌、乳腺癌

    胞核

    Inhibin α*

    MX098

    卵巢颗粒细胞瘤、肾上腺皮质腺瘤

    胞质

    SF-1*

    MX105

    垂体瘤、睾丸

    胞核

    *标为万象城AWC(中国)克隆产品


    更多信息,请详询:800-8581156或400-889-9853