
骨骼肌肿瘤免疫组化概述
骨骼肌肿瘤诊断常用免疫组化指标有Desmin、Myoglobin、Myogenin、Myosin、MyoD1、EGFR、fibrillin-2、p-cadherin。 
表1. 骨骼肌肿瘤诊断常用免疫组化指标

(点击可查看大图)
备注:
- 少部分分化型横纹肌肉瘤中有CK的不同程度表达,可能会因此而导致误诊。 
阳性表达模式:细胞质
推荐阳性质控组织:阑尾
 
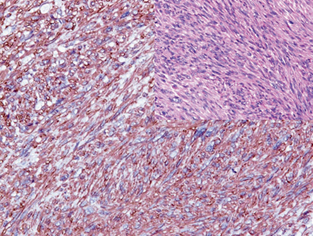
Desmin是一种III型中间丝蛋白,表达于心肌的闰盘、Z线和骨骼肌的Z线,因此这一指标可以用于标记心肌、骨骼肌、平滑肌以及由这些细胞发生的肿瘤。该指标的阳性程度与相应肌细胞或肿瘤的分化程度有关。 临床实践中,Desmin是所有肌源性肿瘤、伴肌性分化肿瘤的重要诊断标记,而肌上皮细胞为阴性。不过,与横纹肌肉瘤形态学相似的其他肿瘤也可有该指标的阳性表达,如促纤维结缔组织增生性小圆细胞肿瘤、腺泡状软组织肉瘤,因此横纹肌肉瘤诊断中免疫组化检测至少应包括一项肌源性转录调节蛋白(Myogenin、MyoD1);也应加入平滑肌分化的标记。还要注意的是,间皮瘤(主要是肉瘤样亚型)、极为罕见情况下的癌也可有局灶Desmin阳性,因此对于判断困难的病例需加做CK检测。
图1. 多形性横纹肌肉瘤,免疫组化desmin在瘤细胞的胞质显著表达。
阳性表达模式:细胞质
推荐阳性质控组织:骨骼肌
 
Myoglobin是一种铁结合、氧结合单链多肽,出现于肌组织分化的早期阶段。该指标表达于骨骼肌、心肌、横纹肌母细胞、成人型骨骼肌肿瘤。胚胎型肌肿瘤和平滑肌肿瘤以及其他肉瘤不表达Myoglobin。不过,据报道,有几种癌具有该指标的弱至中等程度表达,具体如乳腺癌、前列腺癌、结肠癌、头颈部的癌,可能与缺氧、类固醇激素受体阳性有关。阳性表达模式:细胞核
推荐阳性质控组织:横纹肌肉瘤/胎儿肌组织
 
肌源性转录调节因子家族中的MyoD家族包括了MyoD1(Myf-3)、myogenin(Myf-4)、Myf-5、MRF-4(Myf-6)。这些转录因子参与肌干细胞的活化,并参与了胚胎早期骨骼肌分化的调节、肌肉生成程序的维持、肌肉的修复。MyoD1和myogenin的表达在成熟骨骼肌中是下调的,且这两种指标仅表达于所有的横纹肌肉瘤型细胞。
图2. 横纹肌肉瘤中,Myogenin(左)和MyoD1(右)在细胞核强阳性表达。
 
需要注意的是,这两种肌源性标记在非肿瘤性肌母细胞中均可为阳性,而这类细胞可见于修复性及萎缩性肌肉病变中。Myogenin和MyoD1的表达也曾报道于某些其他肿瘤,如韧带样瘤、婴儿型纤维肉瘤、Wilms瘤。Myogenin和MyoD1染色的解读中,仅有细胞核着色才能被视为阳性,其他着色方式(如胞质着色、细胞膜着色)都是无诊断意义的假象。
Pax-5在B淋巴细胞标记中已有阐述,且也是某些神经内分泌癌的标记。对于非淋巴细胞肿瘤来说,Pax-5可表达于腺泡状横纹肌肉瘤,但胚胎性横纹肌肉瘤中一般为阴性。EGFR是一种1型受体酪氨酸激酶,此前章节也已有阐述。EGFR是一种跨膜糖蛋白,正常情况下表达于多种正常上皮和非上皮细胞的细胞膜,因此这一指标的表达是多种上皮性肿瘤和非上皮肿瘤的特征性指标,且是胚胎性横纹肌肉瘤和其他类型横纹肌肉瘤鉴别的指标。
图3. 胚胎性横纹肌肉瘤中,EGFR强阳性表达。
平滑肌肿瘤免疫组化概述
平滑肌肿瘤诊断常用免疫组化指标有Desmin、SMA、h-caldesmon、Calponin、Smoothelin、Transgelin、类固醇激素受体。 
表2. 平滑肌肿瘤诊断常用免疫组化指标

(点击可查看大图)
阳性表达模式:细胞质
推荐阳性质控组织:阑尾
 
平滑肌肌动蛋白(smooth muscle actin,SMA)是肌动蛋白的一种。肌动蛋白是主要的细胞骨架蛋白,是一组包括α、β、γ亚基的可收缩微丝。α肌动蛋白又有三种构型,1型为心肌肌动蛋白,2型为平滑肌肌动蛋白,3型为骨骼肌肌动蛋白(sr-actin)。其实,2型α肌动蛋白抗体可标记平滑肌细胞、肌上皮细胞、肌纤维母细胞。克隆号为1A4的肌动蛋白是广泛用于平滑肌肌动蛋白的标记,可有效用于平滑肌、肌上皮、肌纤维母细胞性病变的诊断。另一个广泛应用的肌动蛋白克隆号为HHF-35,可与骨骼肌肌动蛋白和平滑肌肌动蛋白反应,因此相应可用于平滑肌肿瘤和骨骼肌肿瘤染色。
需要注意的是,SMA的表达可见于某些和平滑肌肿瘤形态相似的其他类型肿瘤,如子宫内膜间质肿瘤、滑膜肉瘤、GIST、肉瘤型间皮瘤。阳性表达模式:细胞质
推荐阳性质控组织:阑尾
 
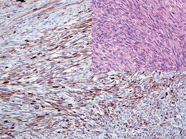
Caldesmon是一种胞质内钙调结合蛋白,参与平滑肌收缩的调节。Caldesmon有两种构型-低分子量构型(l-Caldesmon),参与细胞骨架和细胞形态的调制、细胞增生的调节;高分子量构型(H-Caldesmon),主要表达于内脏及血管的平滑肌细胞和肌上皮细胞。常规组织病理学中,由于非平滑肌肿瘤中表达H-Caldesmon的情况要少于SMA,因此这一指标用于平滑肌肿瘤的特异性标记;且与Actin不同的是,肌纤维母细胞并不表达H-Caldesmon。
图5. 平滑肌肉瘤,胞质强阳性表达H-Caldesmon。不过,某些非平滑肌的病变中也可有H-Caldesmon的阳性表达,如胃肠道间质性肿瘤、炎性肌纤维母细胞瘤、胸膜及腹膜的上皮样间皮瘤,鉴别诊断中应予注意。阳性表达模式:细胞质
推荐阳性质控组织:阑尾
 
Calponin是一种细胞骨架相关、涉及平滑肌收缩调节的蛋白。该指标的表达特异性和H-Caldesmon相似,不过一般GIST并不表达Calponin。
Trasngelin是一种Calponin家族的Actin结合凝胶蛋白,表达于平滑肌细胞的胞质和细胞膜。Trasngelin是平滑肌分化的最早期标记,可表达于内脏和血管的平滑肌细胞、肌纤维母细胞和相关的良性、恶性肿瘤。该指标还可表达于三阴型乳腺癌中基底样型时的上皮样瘤细胞、少部分恶性神经鞘瘤中的上皮样瘤细胞。横纹肌肉瘤、GIST、子宫内膜间质肿瘤并不表达。Trasngelin还可表达于纤维母细胞、肌纤维母细胞、部分上皮细胞。
Smoothelin是分化型平滑肌细胞中细胞骨架的组成成分。这一蛋白有两种构型:A型为短链构成,表达于内脏平滑肌;B型为长链,为血管平滑肌所特有。肌上皮细胞、肌纤维母细胞、骨骼肌和心肌都不表达这一标记。Smoothelin是平滑肌肿瘤的特异性标记,且该指标的表达与这类肿瘤的分化级别有关。
图6. 平滑肌肉瘤,肿瘤细胞表达Smoothelin。
 
这一标记还可用于膀胱肿瘤和肠肿瘤评估中黏膜肌、固有肌层的显示;不过,对于肠肿瘤来说,建议联合SMA一起应用以供比较。迈迈推荐:“影响免疫组化的结果因素是多种多样的,但高质量性能的抗体将是正确诊断的有效保证,本期迈迈推荐以下抗体,您不妨可以试试哦。”
| 抗体名称 | 克隆号 | 阳性对照 | 细胞定位 | 
| Calponin*
 | MX023 | 乳腺组织、平滑肌瘤
 | 胞质 | 
| Desmin* | MX046 | 食管组织、阑尾
 | 胞质 | 
| Myo D1*
 | MX049
 | 横纹肌肉瘤
 | 胞核 | 
| Myogenin* | MX078 | 横纹肌肉瘤
 | 胞核 | 
| Myoglobin
 | 多克隆
 | 横纹肌
 | 胞质 | 
| SMA | 1A4 | 结肠平滑肌、阑尾
 | 胞质 | 
更多信息,请详询:800-8581156或400-889-9853