免疫组化已成为病理医师工作中不可或缺的重要手段,脂肪肿瘤、外周神经肿瘤、神经鞘肿瘤的病理诊断也不例外。众所周知,免疫组化结果的解读须结合形态学所见,并分析相关指标的敏感性、特异性等因素。有鉴于此,本文我们将对本组肿瘤的常用免疫组化指标进行介绍,希望对病理同仁的日常诊断工作有所参考借鉴。
脂肪肿瘤免疫组化概述
脂肪肿瘤诊断常用免疫组化指标有S100、CD34、MDM2、CDK4、p16。表1.  脂肪肿瘤诊断常用免疫组化指标

(点击可查看大图)
阳性表达模式:细胞核/细胞质
推荐阳性质控组织:脂肪肉瘤
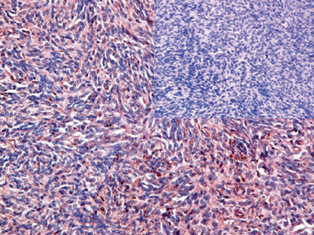
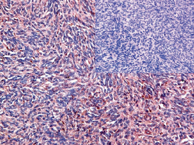
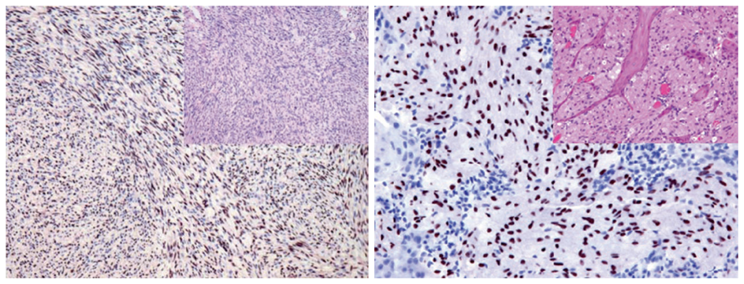
MDM2又称为E3泛素-蛋白质连接酶,是一种核磷酸化蛋白酶,与p53相互作用、影响细胞周期及凋亡。很多肿瘤中有MDM2的过表达,其主要诊断应用是鉴别良性脂肪瘤和高分化脂肪肉瘤。骨肉瘤中也有MDM2的过表达,而良性纤维-骨性病变中并不表达,这一点有助于这两种情况的鉴别。
图1. 去分化脂肪肉瘤中,肿瘤细胞表达MDM2。
如前所述,很多肉瘤中可见MDM2的表达或过表达,因此实际鉴别诊断中应予注意。还要注意的是,MDM2中克隆号为SMP14的抗体与诸多CK有交叉反应,如CK6、CK14、CK16,因此可能在鳞状上皮及鳞癌中有阳性表达。周期依赖性激酶4(cyclin-dependent kinase 4,CDK4)是一种与细胞周期调节有关的核酶。正常情况下,CDK4表达于多种正常细胞核肿瘤性细胞,但某些上皮性肿瘤和间质性肿瘤中会有过表达,后者具体如脂肪肉瘤、骨肉瘤、部分恶性外周神经鞘瘤、横纹肌肉瘤。因此CDK4可用于这类恶性肿瘤和具有相似形态学表现的良性病变鉴别,如良性脂肪源性肿瘤、良性纤维-骨性病变、神经鞘瘤、神经纤维瘤。恶性黑色素瘤、胶质瘤以及胃部、肺部、卵巢、乳腺多种癌中也有CDK4的过表达。
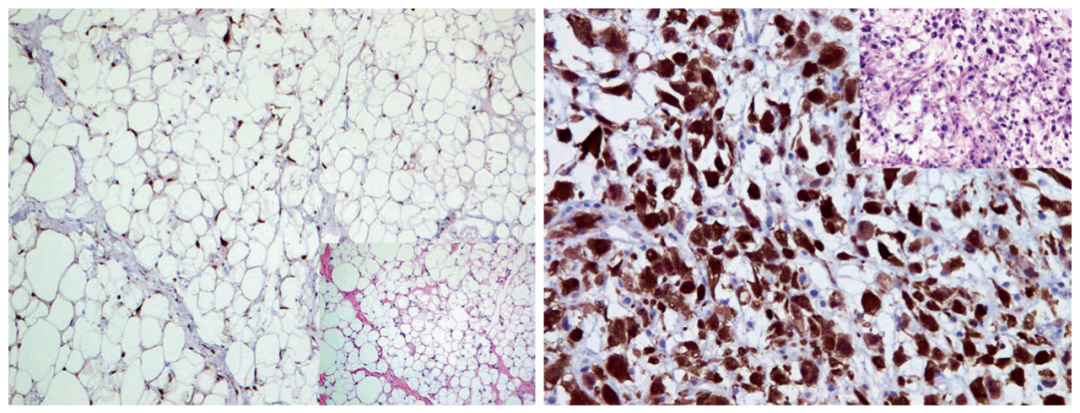
p16是一种肿瘤抑制蛋白,表达于几种癌以及不同来源的HPV相关鳞状细胞癌中。该指标有助于高分化、去分化脂肪肉瘤和良性脂肪瘤、正常脂肪组织的鉴别:前两者p16阳性而后两者p16阴性。不过,p16并非脂肪肉瘤的特异性标记,很多其他恶性间质性肿瘤也会有p16的阳性表达;脂肪坏死区域也可出现p16的阳性。
图2. (左)非典型脂肪瘤样肿瘤,p16在细胞核呈强阳性表达;(右)去分化脂肪肉瘤,肿瘤细胞强阳性表达p16。
外周神经肿瘤、神经鞘肿瘤免疫组化概述
外周神经及神经鞘肿瘤诊断常用免疫组化指标有S100、CD56、PGP9.5、髓磷脂碱性蛋白(myelin basic protein,MBP)、神经胶质纤维酸性蛋白(glial fibrillary acidic protein,GFAP)、神经元纤维(neurofilaments,NF)。
表2. 外周神经肿瘤、神经鞘肿瘤诊断常用免疫组化指标

阳性表达模式:细胞质
推荐阳性质控组织:脑组织
髓磷脂碱性蛋白(myelin basic protein,MBP)是髓鞘的主要成分,是由少突胶质细胞和施万细胞产生的。该蛋白定位于中枢神经系统和外周神经系统的神经纤维周围髓鞘质(myelin),在神经元结构的形成和稳定中发挥作用。抗MBP的抗体用于标记神经瘤、神经纤维瘤、神经源性肉瘤,但在其他梭形细胞肿瘤中为阴性。阳性表达模式:细胞质
推荐阳性质控组织:脑组织
神经元纤维(neurofilaments,NF)是一种中间丝类的蛋白,由四个亚基构成异源多聚体。神经元纤维是中枢神经系统和外周神经系统中神经轴突、树状突中的主要细胞骨架成分,对神经结构给予支持,并调节轴突的直径,同时有传输电脉冲的作用。神经元纤维是神经元和神经节细胞来源肿瘤的良好标记,也可标记有神经元分化的肿瘤。罕见情况下,某些非神经源性肿瘤也有该标记的阳性表达,如横纹肌肉瘤、上皮样肉瘤及某些罕见类型的癌。阳性表达模式:细胞质
推荐阳性质控组织:脑组织
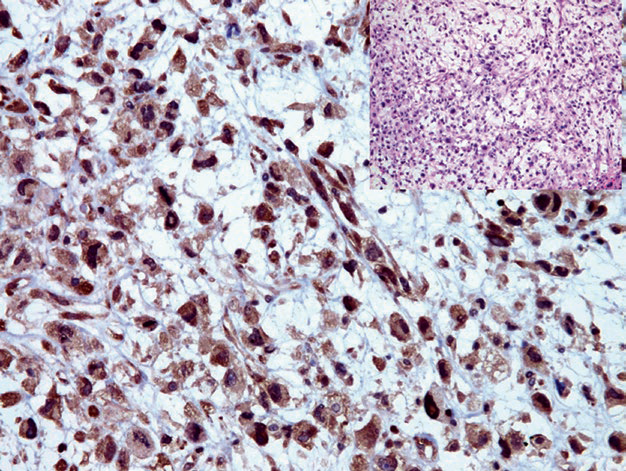
蛋白基因产物9.5(protein gene product 9.5,PGP9.5;又称为泛素羧基末端水解酶-1)是一种与胞质和胞核蛋白裂解有关的酶。这是一种神经特异性蛋白,表达于中枢神经系统、外周神经系统及神经内分泌组织。PGP9.5抗体是显示神经源性肿瘤、神经内分泌肿瘤的良好标记。不过,该指标的特异性较低,可表达于多种非神经源性肿瘤。
图3. 神经源性肉瘤的瘤细胞表达PGP9.5。
SOX-10是一种神经嵴转录因子,与黑素细胞(melanocytes)及施万细胞的成熟、分化有关。正常情况下,SOX-10表达于黑素细胞、施万细胞、肌上皮细胞。因此SOX-10可见于黑色素细胞肿瘤、施万细胞瘤、神经纤维瘤、颗粒细胞瘤、透明细胞肉瘤,高达60%的恶性外周神经鞘瘤也是SOX-10阳性。
图4. SOX-10在神经纤维瘤(左)和颗粒细胞瘤(右)中均为细胞核强阳性表达。
迈迈推荐:“事半功倍,从选择一支优秀的抗体开始,本期迈迈推荐以下抗体,助您轻轻松松染出漂亮的片子。”
| 抗体名称 | 克隆号 | 阳性对照 | 细胞定位 | 
| CDK4
 | EP180 | 脂肪肉瘤、骨肉瘤
 | 胞核/胞质 | 
| MBP | 多克隆 | 胶质瘤、神经纤维瘤
 | 胞质 | 
| NF | 2F11 | 脑胶质瘤、阑尾
 | 胞质 | 
| MDM2 | 1F2 | 脂肪肉瘤 | 胞核 | 
| p16*
 | MX007
 | 宫颈鳞癌、扁桃体
 | 胞核/胞质 | 
| PGP9.5 | 多克隆 | 结肠、阑尾
 | 胞质/胞核 | 
| SOX-10 | EP268 | 神经鞘瘤、恶性黑色素瘤 | 胞核 | 
更多信息,请详询:800-8581156或400-889-9853