
导语:
免疫组化抗体在泌尿生殖系统中的应用越来越普遍。当活检组织非常有限时,选择最佳的IHC标记物就变得愈发重要。在上一期的推文中,我们分享了免疫组化在诊断前列腺疾病中的应用及误区,本期推文将针对免疫组化在诊断膀胱疾病中的应用及误区进行介绍。
膀胱
表1 膀胱标记物 | |||
标记物 | 良性反应性尿路上皮 | 尿路上皮癌 | 膀胱腺癌 |
CK20 | 伞细胞 | + | + |
P63 | + | + | - |
GATA3 | + | + | - |
CD44 | 全层 | - | +/- |
p53 | 基底细胞 | 强阳性 | +/- |
β-Catenin | - 非核着色 | - 非核着色 | - 非核着色 |
CDX2 | - | - | + |

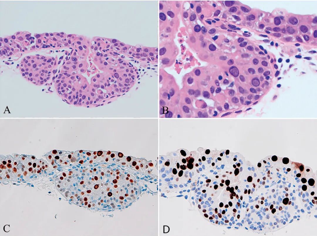
图1A. 膀胱微乳头状尿路上皮癌
图1B. 膀胱微乳头状尿路上皮癌。呈簇的肿瘤细胞陷于“腔隙”之中,这些肿瘤细胞形态相对温和
图1C. 膀胱微乳头状尿路上皮癌。p63染色显示基底细胞缺失
图1D. 膀胱微乳头状尿路上皮癌。GATA3阳性表达

图2A. 原发性膀胱腺癌。与结肠癌的免疫表型类似,膀胱原发性腺癌(肠型)CK20阳性;
图2B. 原发性膀胱腺癌。与结肠癌的免疫表型类似,膀胱原发性腺癌(肠型)CK7阴性;
图2C. 原发性膀胱腺癌。与结肠癌的免疫表型类似,膀胱原发性腺癌(肠型)CDX2阳性;
图2D. 原发性膀胱腺癌。原发性膀胱腺癌显示出β-catenin的细胞质着色,但未见结肠癌中常见的细胞核β-catenin着色。

图3A. BK病毒导致的细胞学非典型性。感染了BK病毒的尿路上皮细胞;
图3B .BK病毒导致的细胞学非典型性。明显的细胞学非典型性,酷似尿路上皮原位癌;
图3C .BK病毒导致的细胞学非典型性。Ki-67的增殖活性非常高;
图3D .BK病毒导致的细胞学非典型性。与BK病毒交叉反应的SV40抗体阳性。

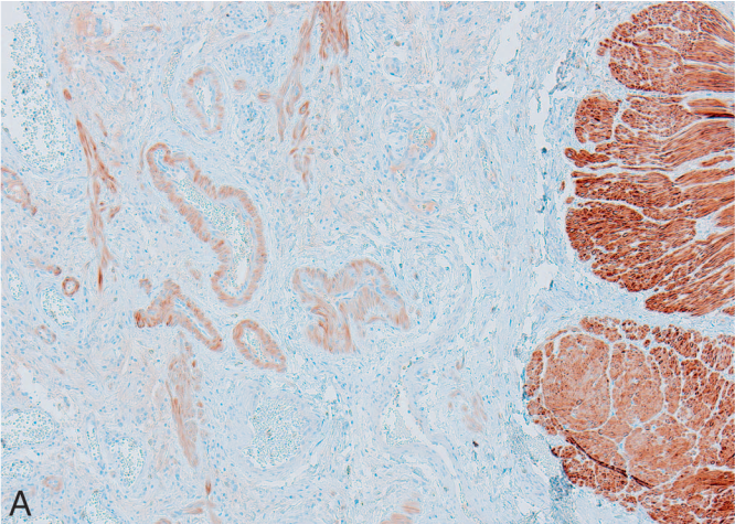
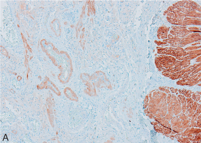
图4A. Smoothelin 在膀胱癌中的应用。Smoothelin 在膀胱癌中的应用。Smoothelin 在固有肌层中呈强阳性(图8A右侧,Smoothelin染色),在黏膜肌层和背景血管中的平滑肌束中为弱阳性(图8A左侧,Smoothelin染色)。

图4B .Smoothelin 在膀胱癌中的应用。尿路上皮癌细胞侵犯平滑肌束;
图4C .Smoothelin 在膀胱癌中的应用。与图8B同一视野,显示Smoothelin微弱着色,提示黏膜肌层被累犯;
图4D .Smoothelin 在膀胱癌中的应用。另一例尿路上皮癌侵犯平滑肌束;
图4E. Smoothelin 在膀胱癌中的应用。与图8D同一视野,显示Smoothelin强阳性,提示固有肌层被累犯。
万象城AWC(中国)相关抗体
抗体名称 | 产品编号 | 克隆号 | 阳性部位 |
CK20* | MAB-0834 | MX059 | 胞质 |
CDX2* | MAB-0713 | MX024 | 胞核 |
p53* | MAB-0674 | MX008 | 胞核 |
p63* | MAB-0694 | MX013 | 胞核 |
GATA3 | MAB-0695 | L50-823 | 胞核 |
β-Catenin* | MAB-0754 | MX043 | 胞质/胞膜 |
*标为万象城AWC(中国)克隆产品
Jenny Ross, Guangyuan Li, Ximing J. Yang. Application and Pitfalls of Immunohistochemistry in Diagnosis of Challenging Genitourinary Cases. Arch Pathol Lab Med. Vol 144, March 2020:290-304
| 上一篇免疫组化抗体在诊断泌... | >>返回 | 下一篇免疫组化抗体在诊断泌... |