福州万象城AWC(中国)生物技术开发有限公司

    万象城AWC(中国)

    产品搜索
    当前位置:万象城AWC(中国) > 新闻资讯 > 热点聚焦

    免疫组化抗体在诊断泌尿生殖系统疾病中的应用及误区(三)

    发布时间:2020-6-25 11:55:28



    导语:


    免疫组化抗体在泌尿生殖系统中的应用越来越普遍。当活检组织非常有限时,选择最佳的IHC标记物就变得愈发重要。在前两期的推文中,我们分享了免疫组化在诊断前列腺和膀胱疾病中的应用及误区,本期推文将针对免疫组化在诊断肾和睾丸疾病中的应用及误区进行介绍。





     肾 


    高级别肾细胞肿瘤,或其作为转移灶出现时,也会出现诊断的陷阱。表1总结了肾脏肿瘤的常用免疫组化标记物。最著名的抗体包括具有TFE3(免疫球蛋白重链增强子3的转录因子)或TFEB(T细胞转录因子EB)易位的MiTF(小眼科相关转录因子)易位家族。


    总的来说,透明细胞RCC应为Pax-8阳性,CA-IX(碳酸酐酶IX)阳性和CK7阴性。AMACR在小部分透明细胞RCC可以是阳性的,但其表达模式通常较弱且局灶;乳头状RCC对Pax-8,AMACR和CK7呈阳性,而对CA-IX呈阴性(表1)。高级别2型乳头状RCC通常显示局灶性CK7着色,乳头状RCC体积较大缺血导致大面积坏死时,由于正常的生物细胞信号转导,此时可表达CA-IX,不应将其解释为透明细胞RCC。相反,透明细胞RCC可能局灶或斑块状表达CK7或AMACR。正确的诊断需要结合整体免疫组化表达情况,并取决于广泛取材。CD10在RCC诊断中的实用性不佳,因其在大多数RCC亚型中都是阳性;同样,由于CD10特异性不高,在转移性肿瘤中尽量少使用CD10。
    肾血管平滑肌瘤可表达HMB-45,Melan-A,MiTF,酪氨酸酶和一种或多种肌动蛋白,普通情况下诊断较容易。但在诊断上皮样血管平滑肌脂肪瘤时,则可能较困难。上皮样血管平滑肌脂肪瘤有两种主要的结构模式:①癌样生长型,其特征是大细胞排列成宽阔的肺泡状结构,呈巢状或片状生长,其间具有丰富的血管间隔;②弥散型生长型,由上皮样到肥胖的梭形细胞组成的片状结构,可存在多核巨细胞和黑色素沉着,偶可见坏死和微脓肿。有五种临床病理特征与上皮样血管平滑肌脂肪瘤的侵袭性有关:(1)伴随有结节性硬化症;(2)肿瘤体积大于7厘米;(3)癌样生长;(4)肾周软组织和/或肾脏受累;(5)坏死(图1)。因此,将这些关键的诊断信息给予给临床医生,并为患者选择最成功的治疗方案非常重要。Cathepsin K是一种半胱氨酸蛋白酶,在肾血管平滑肌瘤中表现出细胞质强阳性,包括上皮样亚型,嗜酸细胞瘤样和上皮样囊性亚型,它们对黑色素细胞或肌源性标志物可能呈阴性。Cathepsin K在人体其它部位的血管周上皮细胞肿瘤(PEComas)中的表达良好。鉴别诊断包括易位相关RCC,因为它会表达Cathepsin K。

    图1A. 上皮样血管平滑肌脂肪瘤。肿瘤最大径15厘米,取代了整个肾脏;

    图1B. 上皮样血管平滑肌脂肪瘤。肿瘤细胞弥漫性生长,伴有坏死;

    图1C. 上皮样血管平滑肌脂肪瘤。较高的放大倍数显示大的上皮样肿瘤细胞,具有透明至嗜酸性的细胞质,酷似肾细胞癌;

    图1D. 上皮样血管平滑肌脂肪瘤。肿瘤细胞HMB-45呈阳性,但对上皮和肾细胞标记物呈阴性。


    肾髓质癌是一种罕见的侵袭性肿瘤,患者几乎均伴有镰状细胞性白血病。SMARCB1(又称INI1)是SWI/SNF染色质重塑复合物的核心亚基,该蛋白表达缺失是肾髓质癌的主要诊断特征。肾髓质癌通常对Pax-8,CK7和OCT4呈阳性,并可能表达CK20和Vimentin。但除了肾髓质癌以外,其他肾脏肿瘤,例如小儿横纹肌样瘤和上皮样肉瘤,甚至在集合管癌时也可能显示出SMARCB1的缺失。
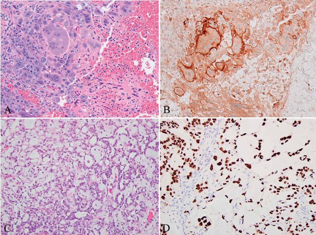
    与经典的RCC相比,易位相关性RCC在同一肿瘤内具有多种相对独特的形态学模式,包括乳头状结构、透明细胞质、高核级、砂砾体,有时形成菊形团。与透明细胞RCC或乳头状RCC不同,易位相关性RCC通常对Pax-8呈阳性,但对CA-IX和/或AMACR通常呈阴性。此外,尽管在罕见的情况下透明细胞RCC可表达弱的Melan-A ,但小部分易位相关性癌的Melan-A或HMB-45可呈阳性,这在其他类型的RCC中并不常见。此时需要加做TFE3免疫组化(图3,B到E)。但TFE3抗体在技术上难以操作,其背景着色严重和特异性差。

    图2A. TFE3易位相关性肾细胞癌。大体观,肿瘤体积较大,有出血和坏死区域,几乎完全取代了整个肾脏;

    图2B. TFE3易位相关性肾细胞癌。镜下肿瘤由具有透明细胞质的高级别肿瘤细胞组成,形成腺腔状和乳头状结构;

    图2C. TFE3易位相关性肾细胞癌。肿瘤细胞TFE3呈阳性;

    图2D. TFE3易位相关性肾细胞癌。透明细胞RCC标记物CA-IX呈阴性;

    图2E. TFE3易位相关性肾细胞癌。肿瘤细胞也对Melan-A呈局灶阳性表达。


    当肿瘤位于肾脏的中央部位时,则需要鉴别UC。UC可出现广泛的透明细胞变,使用Pax-8能证明肾源性,但某些泌尿道上段的UC可以表达弱至中等强度的Pax-8,而Pax-8也可能在肾和尿路上皮肿瘤的肉瘤样亚型中表达。在标本有限时鉴别诊断尤为困难,此时,使用Pax-8,p63,GATA3和S100P的免疫组化套餐有助于将其鉴别开来。
    新增的嗜酸性实性和囊性肾细胞癌(eosinophilic solid and cystic renal cell carcinoma,ESC RCC)是新近认识的一种独特类型的惰性肾肿瘤,发生在伴或者不伴有结节性硬化症的女性患者。其特征在于肿瘤细胞具有显著的嗜酸性细胞质,以及颗粒状的胞浆彩斑,核圆形至卵圆形。(图3,A和B)。肿瘤细胞实性与囊性相混合,对Pax-8和CK20呈阳性表达,AMACR呈局灶阳性(图3,C和D),CD117和CK7呈阴性。

    图3A. 嗜酸性实性和囊性肾细胞癌。肿瘤由囊性区(图11A)和实性区(图11B)组成;

    图3B. 嗜酸性实性和囊性肾细胞癌。肿瘤细胞具有显著的嗜酸性细胞质,以及颗粒状的胞浆彩斑(图3B,箭头);

    图3C. 嗜酸性实性和囊性肾细胞癌。肿瘤细胞CK20阳性;

    图3D. 嗜酸性实性和囊性肾细胞癌。肿瘤细胞AMACR呈局灶阳性。



     睾丸 


    用于评估睾丸生殖细胞肿瘤的大多数标记物其表达范围都有一定程度的重叠(表2)。精原细胞瘤和原位生殖细胞瘤一般对CD117呈阳性,大多数生殖细胞瘤会表达OCT4。胚胎性癌的CD30和OCT4呈阳性。精原细胞瘤和胚胎性癌都可表达D2-40,但它们显示出不同的染色模式:精原细胞瘤表现为弥漫性膜性D2-40染色,而胚胎性癌则显示局灶性腔隙样D2-40染色(图4)。卵黄囊成分表达AFP和Glypican-3。Glypican 3也在滋养层细胞中表达。绒毛膜癌β-hCG(人绒毛膜促性腺激素的β亚基;图4,A和B)阳性。小部分精原细胞瘤可分泌β-hCG,或者含有分泌β-hCG的合体滋养层细胞,不应将其误诊为绒毛膜癌。



    图4A. 经典精原细胞瘤;

    图4B. 经典精原细胞瘤显示D2-40弥漫阳性;

    图4C. 胚胎性癌;

    图4D. 胚胎性癌,显示管腔样D2-40染色。


    SALL4是生殖细胞肿瘤的另一种标记物(图5中的C和D),可标记精原细胞瘤,大多数胚胎性癌,卵黄囊瘤,畸胎瘤 ; 它在非生殖细胞肿瘤中很少表达。

    图5A. 睾丸绒毛膜上皮癌的合体滋养层细胞;

    图5B. 睾丸绒毛膜上皮癌的合体滋养层细胞。Glypican-3呈阳性;

    图5C. 卵黄囊瘤;

    5D. 卵黄囊瘤SALL4阳性。


    如果在老年人中发现睾丸肿瘤,则需要加一组造血系统标记物,例如CD45,CD20和CD3。例如髓样肉瘤可表达CD117,胚胎性癌表达广谱角蛋白,可能会导致误诊,如果没有其它造血系统指标,则造血系统肿瘤可能会被误诊为精原细胞瘤或胚胎性癌。



    万象城AWC(中国)相关抗体




    抗体名称

    产品编号

    克隆号

    阳性部位

    CA  IX

    RAB-0615

    多克隆

    胞膜

    D2-40

    MAB-0567

    D2-40

    胞质/胞膜

    Glypican-3*

    MAB-0667

    MAXIM001

    胞质

    INI-1

    MAB-0696

    MRQ-27

    胞核

    Pax-8*

    MAB-0837

    MX062

    胞核

    TFE3

    MAB-0663

    MRQ-37

    胞核

    *标为万象城AWC(中国)克隆产品  
    参考文献:
    Jenny Ross, Guangyuan Li, Ximing J. Yang. Application and Pitfalls of Immunohistochemistry in Diagnosis of Challenging Genitourinary Cases. Arch Pathol Lab Med. Vol 144, March 2020:290-304