
导语:
在上一期的推文中,我们较为详细的介绍脾脏的组织学及流式细胞术的内容,本期我们将重点阐述脾脏白髓、红髓和脾间质等常见疾病鉴别诊断中免疫组化抗体的应用,希望对各位同仁的日常工作有所借鉴和参考。
脾脏白髓与红髓的常见疾病
脾脏疾病通常位于脾脏的一个特定区域,即红髓或白髓。脾错构瘤,窦岸细胞血管瘤,血管瘤和毛细胞白血病(HCL)常见于红髓,而其它B细胞和T细胞淋巴瘤(如脾边缘区淋巴瘤)通常见于白髓(表3)。在顺利获得HE常规染色镜检后确定出现异常的是红髓和/或白髓后,可以针对性使用一种更特异性的免疫组化套餐,以期对该部位病变进行鉴别诊断。如果有红髓异常,那么可使用CD8,CD68,CD163,CD31,CD34,ERG,WT1,DBA.44,annexin A1,,T-bet,CD25和BRAF。如果存在白髓异常,则使用CD20,CD3,CD5,CD10,BCL6,BCL1,BCL2和Ki-67(也包括MUM1,EBER,以及有大细胞浸润时选择CD30)对于区分小B细胞淋巴瘤和大B细胞淋巴瘤会更有帮助(表1,见第一期推文)。
红髓常见疾病 | 白髓常见疾病 |
脾错构瘤 | 脾脏边缘区淋巴瘤 |
窦岸细胞血管瘤 | 弥漫性大B细胞淋巴瘤 |
血管瘤 | 慢性淋巴细胞性白血病/ 小淋巴细胞淋巴瘤 |
毛细胞白血病 | 麻疹 |
脾弥漫性红髓 小B细胞淋巴瘤 | 伤寒 |
慢性粒细胞白血病 | Castleman病 |
传染性单核细胞增多症 | 特发性血小板减少紫癜 |
血管肉瘤 | Felty综合征 |
脾间质性疾病
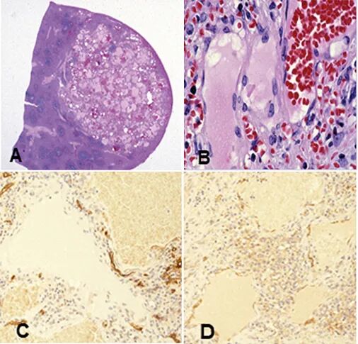
尽管脾间质性病变发病率较低,但它们却是脾脏中最常见的占位性病变,并且常常难以分类。最常见的脾间质性病变是脾血管瘤,发病率为0.02%至0.16%。血管瘤是由管腔大小不一、形状各异的内皮细胞相互连接而成的良性血管肿瘤。根据定义,血管瘤缺乏恶性肿瘤的特征,例如实性区域,核分裂象,细胞异型性和坏死,而脾脏血管肉瘤则具有上述这些特征。有两种具有中度恶性潜能的血管瘤:血管内皮瘤和卡波西肉瘤。脾脏卡波西氏肉瘤的外观与发生在其它部位的卡波西肉瘤相似,通常在免疫功能低下的患者中发现,最常见的是HIV / AIDS(后天免疫机能丧失综合症)。卡波西肉瘤对一般的血管内皮标记物(即ERG,WT1,CD31,CD34和VIII因子)呈阳性,但对淋巴管内皮标记物D2-40也呈阳性。此外,大多数病例的人类疱疹病毒8呈阳性。血管内皮瘤可以多种形式出现,肿瘤细胞可以是上皮样、梭形和平滑肌样,因此可能被误认为是上皮或平滑肌肿瘤。脾血管瘤,血管内皮瘤和血管肉瘤都是血管肿瘤,因此它们可被血管标记物(例如ERG,WT1,CD31,CD34和VIII因子)染色。高级别肿瘤,尤其是血管肉瘤,可能丢失一部分或大部分血管标志物;ERG是这些肿瘤中最常保留的标志物。另外,如果是上皮样血管内皮瘤则角蛋白可为阳性,如果是平滑肌样血管内皮瘤,则SMA可能为阳性。
由于组织学形态相似,淋巴管瘤常常需要与血管瘤相鉴别。淋巴管瘤内尽管可存在一些红细胞,但其管腔内往往充满粉红色的蛋白质性液体,而血管瘤的管腔内通常充满血液。淋巴管瘤的血管内皮标记物一般呈阳性,D2-40也呈阳性,而血管瘤则不表达后者。
窦岸细胞血管瘤是一种相对罕见的血管肿瘤,其仅在脾脏中发现,被认为是由红髓窦内皮(窦岸)细胞引起。该肿瘤位于红髓内,由多个充满血液的不规则囊性管腔组成。它可能呈多灶性,最常在腹部的影像学检查中发现。内腔由高柱状及扁平的红髓衍生细胞排成一列,这些细胞突入血管腔。高柱状内衬细胞表达组织细胞标记物(CD68和CD163),而扁平细胞则表达血管标记物(CD31和VIII因子)。这些肿瘤还表达ERG,但通常不表达WT1和CD34。与正常的脾脏窦岸细胞相比,窦岸细胞血管瘤不表达CD8。组织细胞和血管标记物的共同表达是窦岸细胞血管瘤的一大个性特征,可用于鉴别诊断。
脾错构瘤也是脾脏特有的,病变仅由红髓组成,镜下见大量红髓,而没有白髓结构。切面上,脾错构瘤常从表面隆起形成结节性肿块挤向邻近的正常脾脏。脾错构瘤没有包膜,但通常与相邻的正常脾脏间有清晰的边界。从组织结构上来说,它由各种机化的条索和血窦状结构组成。血窦内衬细胞CD8阳性,并且对一般的血管内皮标记物(ERG,WT1,CD31和VIII因子)也有免疫反应。此外,它们可以对组织细胞标记物呈局灶阳性(图2,A至P)。

图2 累及脾脏的血管病变。A至D,血管瘤;
图2A,界限分明的血管瘤;
图2B,具有明显内皮细胞的异常扩张血管;
图2C,CD34在内皮细胞中显示阳性;
图2D,CD31在内皮细胞中显示阳性。

图2E至H,脾错构瘤;
图2E,低倍镜显示没有白髓结构;
图2F,CD8显示血窦;
图2G,CD34显示正常的脾脏血管;
图2H,Lysozyme标记窦内组织细胞。

图2I至L,窦岸细胞血管瘤;
图2I,内衬细胞脱落到血管腔;
图2J,CD31标记扁平的内皮细胞;
图2K,VIII因子标记扁平细胞;
图2L,CD8在内衬细胞中显示阴性,但可染脾窦。

图2M,脾窦扩张,靠近白髓结节。
图2N,红细胞充填使脾窦扩张。
图2O,CD34在内衬细胞显示为阴性。
图2P,Ⅷ因子显示脾窦着色
未完待续......
万象城AWC(中国)相关抗体
抗体名称 | 产品编号 | 克隆号 | 阳性部位 |
CD5* | MAB-0827 | MX052 | 胞膜 |
CD5 | Kit-0033 | SP19 | 胞膜 |
CD10* | MAB-0668 | MX002 | 胞质/胞膜 |
| CD30 | MAB-0023 | Ber-H2 | 胞质/胞膜 |
CD31* | MAB-0720 | MX032 | 胞膜 |
| CD68 | Kit-0026 | KP1 | 胞质 |
| CD163 | MAB-0206 | 10D6 | 胞膜 |
*标为万象城AWC(中国)克隆产品
| 上一篇脾脏疾病免疫组化抗体... | >>返回 | 下一篇试拟鳞状细胞癌通用分... |