在前两期的推文中,我们分别介绍了脾脏的组织学、流式细胞术以及脾脏白髓、红髓和脾间质等常见疾病鉴别诊断中免疫组化抗体的应用,那么原发性脾脏梭形细胞病变及囊肿、紫斑病的免疫组化抗体又该如何选择呢?
具有梭形间充质细胞和混合淋巴浆细胞浸润的病变可发生在脾脏之中,鉴别诊断时需要考虑的病种较多。脾炎性假瘤是良性的,但常常酷似恶性。这些病变通常界限清楚,可由慢性炎症细胞、纤维组织增生和血管混合而成。免疫组化可观察到混杂的染色模式,与所涉及的细胞标记物相对应:SMA和/或S100显示纤维母细胞着色,血管标记物(ERG,WT1、CD31,CD34和VIII因子)对血管呈阳性表达,组织细胞CD68和CD163阳性,淋巴细胞以T细胞为主,使用CD3可突出显示。病灶间的正常红髓可用CD8标记。脾脏炎性假瘤的一种亚型(化疗后富含组织细胞的脾脏炎性假瘤)在脾脏对化疗敏感的恶性肿瘤(通常为侵袭性淋巴瘤,转移性癌或“小蓝细胞”婴幼儿恶性肿瘤)行化疗后可出现。该病由混合的炎性细胞、CD68 +/CD163+的组织细胞和坏死的恶性肿瘤细胞组成。使用特异的原发恶性肿瘤免疫组化标记物可能有助于显示残留的恶性肿瘤细胞。
炎性假瘤必须与其它梭形细胞病变鉴别,例如滤泡树突状细胞肉瘤,炎症性假瘤样滤泡/纤维母细胞树突状细胞瘤(IPFDC / FRC)和炎症性肌纤维母细胞瘤。滤泡性树突状细胞肉瘤(FDCS)是一种低度恶性肿瘤,被认为是脾脏白髓的滤泡性树突状细胞网来源。它由梭形至卵圆形的细胞组成,排列成片,束状和漩涡状;CD21,CD23,CD35,D2-40和Ki-M4P阳性。IPFDC / FRC是混合了炎性细胞的变异型(有时具有明显的嗜酸性粒细胞和肉芽肿区域,可以酷似感染性病变)。病灶边界清楚,通常部分区域有包膜,并且肿瘤细胞对于滤泡树突状细胞标记物是阳性的。但是,与经典FDCS不同,该变异型的病理生理学与EB病毒有关,并且肿瘤细胞始终对EBER呈阳性,有时EBV-LMP1也呈阳性。已有报道类似于IPFDC / FRC的病例IgG4+浆细胞数量增加,因此有学者质疑此病是否属于IgG4相关性硬化性疾病。炎性肌纤维母细胞瘤(IMT)是好发于儿童和青年的肌纤维母细胞梭形细胞肿瘤,其镜下典型特征是混合性慢性炎性细胞浸润,很少累及脾脏。免疫组化显示梭形细胞SMA和Desmin(着色不定)呈阳性,其中一部分肿瘤显示局灶性角蛋白表达。ALK免疫组化显示脾脏外50%至60%的IMT病例胞质呈阳性,但据报道在脾脏的IMT中呈阴性。荧光原位杂交还显示约50%的病例中有2p23 ALK的重排。ALK的融合方式不同,可与包括EML4、ATIC、TPM3、TPM4,CLTC和RANBP2等融合。一些ALK阴性的IMT包含ROS1、RET,PDGFRB或ETV6和NTRK3的融合。脾脏的梭形细胞病变包括炎性假瘤、IMT,FDCS和IPFDC / FRC。鉴别这些病变的免疫组化套餐包括CD21(以及其它FDC标记,例如CD23、CD35,Ki-M4P)、EBER、SMA、AE1 /AE 3、ALK、S100、ERG、CD34、CD68,CD163和CD3(图3,A到H)。炎性假瘤对SMA、S100、ERG、CD31、CD34、CD68,CD163和CD3的表达模式各不相同,具体表达情况取决于每种炎性细胞的密度。FDCS表达CD21、CD23、CD35和Ki-M4P。IPFDC / FRC对EBER呈阳性,而对CD21和其他FDC标记物的表达为着色不定的阳性。炎性肌纤维母细胞瘤表达SMA,有时表达Desmin,偶可表达角蛋白。其它少见梭形细胞肿瘤,例如指状树突状细胞瘤(S100+)或肥大细胞增多症(CD117+,tryptase+)。
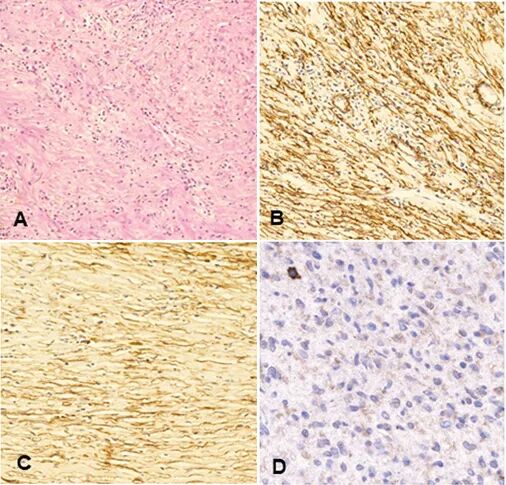
图3A,梭形细胞增生;
图3B,SMA显示阳性;
图3C,梭形细胞MSA阳性;
图3D,CD8显示阴性,说明没有正常的脾脏组织。

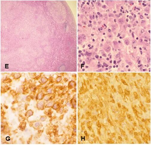
图3E至H,朗格汉斯细胞组织细胞增生;
图3E,低倍镜肉芽肿外观;
图3F,具有核沟的组织细胞;
图3G,CD1a在肿瘤细胞中显示阳性;
图3H,S100在肿瘤细胞中显示阳性。
组织细胞肿瘤也可发生在脾脏中。朗格汉斯细胞组织细胞增生症是朗格汉斯细胞的克隆性增殖,通常在红髓内形成聚集灶,使红髓膨胀。病变细胞具有丰富的嗜酸性细胞质,细胞核有核沟或分叶状,对CD1a,langerin(CD207)和S100(胞质和胞核着色)呈阳性。组织细胞肉瘤,或恶性组织细胞增多症,是一种高级别肿瘤,形态变化多端。肿瘤细胞大,粘附性差,形态可以温和,也可以拥有显著的恶性特征。免疫组化的作用通常是排除其他高级别恶性肿瘤。瘤细胞对组织细胞标记物(CD68,CD163)呈阳性,而对黑色素瘤、癌,髓细胞标记物和Langerhans细胞标记物均呈阴性。组织细胞肿瘤可检测 BRAF突变,因为其可能是治疗靶标,可以顺利获得 BRAF V600E抗体的免疫组化来完成。免疫组化可以协助病理医生区分脾脏的不同囊肿。脾脏囊肿可分为上皮囊肿(真囊肿),间皮囊肿,假性囊肿和寄生虫囊肿。脾脏的上皮囊肿通常衬覆假复层的鳞状上皮(表皮样囊肿),具有附件结构的鳞状上皮(皮样囊肿)或柱状上皮。通常,如果病灶长期持续,则囊性包膜可能会变薄或消失,因此必须仔细取材并努力寻找扁平的上皮细胞。间皮囊肿可能表现为鳞状化生。内衬的鳞状上皮对角蛋白、癌胚抗原和CA19-9呈阳性;内衬间皮对间皮标记物(例如calretinin)呈阳性。假性囊肿壁由致密的纤维组织构成,无上皮衬覆,被认为是创伤性的血肿后遗症。角蛋白的阴性染色有助于确认上皮缺失,从而将假性囊肿与上皮囊肿鉴别开来(图4,A至H)。
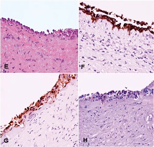
图4脾脏囊肿。A至D,上皮囊肿;
图4A,囊肿下方的正常脾脏组织,内衬上皮;
图4B,角蛋白AE1/AE3内衬上皮细胞阳性;
图4C,CD34内衬上皮细胞阴性;
图4D,CD68内衬上皮细胞阴性。

图4E至H,间皮囊肿。图4E,囊肿显示内衬的间皮细胞;
图4F,角蛋白AE1/AE3显示阳性;
图4G,WT1显示阳性;
图4H,calretinin在内衬上皮细胞中阳性。
脾脏中的寄生虫囊肿(虫卵囊肿)通常由棘球蚴感染(包虫病)引起。囊肿通常具有多房包膜(B超显示明暗区交替)。虫体含外生泡囊和内生泡囊芽体,各外生泡囊从虫体胚组织向体外生长出来。虫体的头节前端由一个吸盘和两排小钩组成。免疫组化在寄生虫囊肿中的作用有限,但特染六胺银(GMS)能在可疑病例中突出显示虫体小钩,并从上皮囊肿或假性囊肿中区分出包虫囊肿。
肝脏或脾脏的紫斑病是一种罕见的疾病,实质器官内有可有多个充满血液的腔隙。该疾病的病因可能是先天性血管畸形被特定的外源性因素影响后加重。现在已经发现它与结核、肝硬化、血液系统恶性肿瘤,酗酒和类固醇治疗有关。从组织学上看,充血的腔隙没有内皮衬覆。血管标记(ERG、CD31,CD34和VIII因子)的染色应在囊腔周围显示阴性,而血管瘤则为阳性。值得注意的是,脾脏中的血管腔隙或“血湖”可能被毛细胞白血病中的肿瘤性B细胞所衬覆,因此在鉴别诊断套餐中需加入B细胞标记物。免疫组化套餐可使用AE1/AE3、calretinin,GMS和ERG,用来鉴别囊性脾病和紫斑病一起使用。间皮囊肿与上皮囊肿是有区别的,因为间皮囊肿的calretinin和AE1 /AE3均为阳性,而上皮囊泡的calretinin为阴性,AE1 /AE3为阳性。GMS染色在棘球蚴囊内可呈阳性。脾紫斑病可表达血管标记物,例如ERG,而假性囊肿则不会表达任何上述标记物。未完待续......
抗体名称 | 产品编号 | 克隆号 | 阳性部位 |
CD21* | MAB-0708 | MX019 | 胞膜 |
CD23 | RMA-0504
| SP23 | 胞膜 |
CD35 | RMA-0768 | EP197
| 胞膜 |
CD35
| MAB-0340
| KuN241
| 胞膜 |
CD117* | MAB-0745 | MX041 | 胞膜/胞质 |
| Desmin* | MAB-0766 | MX076 | 胞质 |
| D2-40 | MAB-0567
| D2-40 | 胞质/胞膜
|
*标为万象城AWC(中国)克隆产品