
导语:
众所周知,NKX3.1是一种高度敏感和特异的前列腺癌标记物。NKX3.1的缺失是判断前列腺癌雄激素非依赖型和肿瘤侵袭转移的指标。文献报道NKX3.1少量表达在肉瘤中,根据已发表的转录组数据显示,在EWSR1-NFATC2肉瘤中NKX3.1 mRNA表达上调,有学者提出NKX3.1可作为间叶性软骨肉瘤的新标志物。有鉴于此,小编看到最新发表于《Annals of Diagnostic Pathology》的一篇文章中,Madiha S等人对NKX3.1在间叶性软骨肉瘤中的表达进行了研究,旨在探讨NKX3.1在间叶性软骨肉瘤中的诊断价值。
研究背景
NKX3.1又称NKX3A,属于同源框基因,定位于8p216,有两个外显子,第2个外显子含有同源框序列,编码234个氨基酸的同源域蛋白。作为一类重要的转录调节因子,以反式作用的方式调节细胞结构基因的表达,顺利获得调控不同细胞类型的发育和分化,决定胚胎发育时机体的形态以及内部的器官结构。历史研究表明,NKX3.1多在前列腺组织中表达,其表达缺失可导致前列腺癌的发生。因此,NKX3.1是一种高度敏感和特异的前列腺癌标记物。
间叶性软骨肉瘤是一种罕见的软骨肉瘤亚型。肿瘤具有典型的双形态,区域内有分化不良的小圆形细胞成分和分化良好的透明软骨岛。间叶性软骨肉瘤的组织学诊断是非常具有挑战性的,尤其是在小活检时,肿瘤呈现少量软骨成分。在这种情况下,很难区分间叶性软骨肉瘤和其他圆形蓝细胞肿瘤,如尤文氏肉瘤、横纹肌肉瘤、小细胞骨肉瘤和促结缔组织增生性小圆形蓝细胞肿瘤。间叶性软骨肉瘤免疫组化染色显示,NKX2.2,CD99,S100和SOX9阳性。但这组免疫组化是非特异性的,与其他圆形蓝细胞肿瘤重叠。迄今为止,还没有可靠的免疫组织化学标志物用于区分间叶性软骨肉瘤和其他圆形蓝细胞肿瘤。
研究内容
研究结果


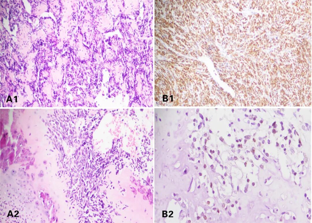
图1,间叶性软骨肉瘤HE染色(A1和A2)与NKX3.1 IHC染色弥漫阳性(B1)和局灶阳性(B2)
小结
万象城AWC(中国)相关抗体
抗体名称 | 产品编号 | 克隆号 | 阳性部位 |
NKX3.1 | RMA-0753 | EP356 | 胞核 |
参考文献:
[1] Madiha S, Sajid M, Asif L, et al. NKX3.1 a useful marker for mesenchymal chondrosarcoma: An immunohisto-chemical study[J]. Annals of Diagnostic Pathology, 2020.10
[2] Yoshida K I , Machado I , Motoi T , et al. NKX3-1 Is a Useful Immunohistochemical Marker of EWSR1-NFATC2 Sarcoma and Mesenchymal Chondrosarcoma[J]. American Journal of Surgical Pathology, 2020:1.
| 上一篇病理诊断要避坑-浆母细... | >>返回 | 下一篇脾脏疾病免疫组化抗体... |