
上皮性肿瘤诊断免疫组化指标
细胞角蛋白(cytokeratin,CK)属于中间丝蛋白,其作用为构成细胞骨架,是上皮性肿瘤诊断中最重要的标记。
免疫组化检测中,CK一般为弥漫性胞质着色,但也有其他着色模式,如神经内分泌肿瘤中会呈核旁、逗点状表达。常见呈这一着色模式的肿瘤类型还有:Merkel细胞癌(呈核旁着色,主要为CK20),小细胞癌(主要为CK19),类癌及胰腺内分泌肿瘤,肾脏嗜酸细胞腺瘤(oncocytoma,低分子量CK),甲状腺髓样癌,精原细胞瘤(低分子量CK),颗粒细胞瘤,横纹肌肿瘤,少数间质肿瘤(如促纤维结缔组织增生性小圆细胞肿瘤、平滑肌肉瘤、单相型滑膜肉瘤)。CK类型很多,大致可分为两组:碱性CK,包括CK1-8;酸性CK,包括CK9-20。不同的CK表达于不同的上皮类型、不同的分化阶段;而不同上皮即使形成肿瘤,一般也仍保持其固有的CK表达,这也是CK用于诊断和鉴别诊断的理论基础。实际工作中常将两组中的不同CK进行组合应用,如CK8/18。日常应用中常将不同的CK组合成为“广谱”CK或“鸡尾酒”式CK,用于上皮分化或上皮性肿瘤的相关“筛查”。虽然这一做法非常有效,但需要注意的是,并没有哪一种组合的“广谱”CK可以包括所有CK类型。应用较为广泛的广谱CK组合或克隆号及其具体应用范围详述如下:
AE1/AE3:这一组合为AE1与AE3的混合,其中AE1为酸性CK,而AE3为碱性CK。该组合应用较为广泛,但却不会与CK18反应。极少数上皮性肿瘤对这一组合为阴性、或弱阳性,如肝细胞癌、肾细胞癌、肾上腺皮质癌、前列腺腺癌、神经内分泌肿瘤。此外,据报道,这一组合会与GFAP有交叉反应,因此可能会造成相关误判。
KL1:这一克隆可与CK1/2/5/6/7/8/11/14/16/17/18反应,因此可算最为广谱的上皮标记。不过这一克隆也会和GFAP产生交叉反应。
MNF116:这一克隆可与CK5/6/8/17/19反应。
CAM5.2:这一克隆可与CK8/18/19反应。
MAK-6:这一克隆可与CK14/15/16/18/19反应。
OSCAR:这一广谱CK可与CK7/8/18/19反应,大部分上皮细胞及这类细胞来源的癌都为阳性。这一广谱CK尽管与GFAP无交叉反应,但却可以与淋巴组织中的滤泡树状突细胞反应。

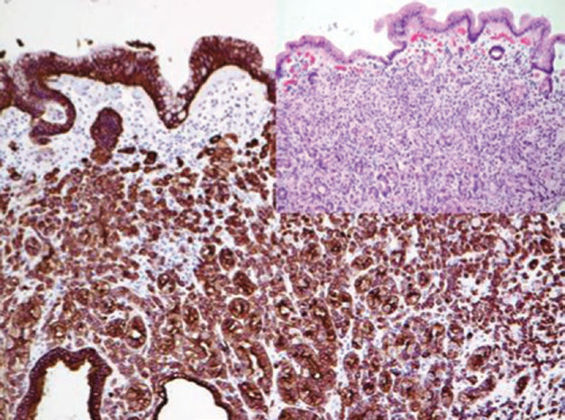
图1. 弥漫型胃腺癌中,肿瘤细胞弥漫阳性表达广谱CK(MNF116)
广谱CK应用陷阱:某些CK可表达于多种非上皮性组织及相关肿瘤、伴上皮分化的肿瘤,具体有:间皮细胞及间皮瘤,平滑肌及平滑肌肿瘤,脑膜瘤及脊索瘤,上皮样肉瘤,滑膜肉瘤,促纤维结缔组织增生性小圆细胞肿瘤,血管肉瘤,少数腺泡状横纹肌肉瘤,透明细胞肉瘤,部分生殖细胞肿瘤,神经鞘肿瘤,横纹肌样肿瘤(rhabdoid tumor),恶性黑色素瘤,未分化多形性肉瘤,增生的肌纤维母细胞,间变性及弥漫性大细胞淋巴瘤,浆细胞肿瘤。
间叶性肿瘤中的CK阳性表达一般为灶性着色,但也可呈逗点状。仅根据广谱CK阳性而做出癌的诊断,是肿瘤病理诊断中的严重错误之一。因此,实际工作中,一定要关注相关肿瘤具体为哪些CK阳性、并据此选择具有组织特异性的相关指标进行鉴别。淋巴结内异位的良性上皮结构,应注意不要误判为转移癌或肿瘤细胞播散,具体如颈部、胸部、腹腔淋巴结内异位的导管及腺体成分,盆腔淋巴结内的苗勒源性上皮包涵体及子宫内膜异位
CK5是复层上皮中基底细胞细胞骨架的主要成分;CK6的组织分布与CK5相同,一般与CK5联合应用;CK14一般与CK5形成异二聚体,该指标为鳞状细胞癌诊断的极佳标记,与CK5联合,更是可以很好的标记乳腺活检标本中的肌上皮细胞、前列腺活检标本中的基底细胞。CK5、CK6、CK14分别表达于复层鳞状上皮、肌上皮、间皮,因此这类指标的组合可用于鳞状细胞癌的诊断,并可清晰的标记正常肌上皮细胞、部分肿瘤(如涎腺肿瘤、肌上皮肿瘤)中的肌上皮细胞成分。常用的34βE12组合则包括了CK1/5/10/14。上述特征对于某些鉴别诊断非常关键:前列腺活检中,肿瘤性腺体周边基底细胞缺失;乳腺活检中,肌上皮及管腔上皮分别表达CK5/6/14、CK8/18,这在导管内普通型增生、非典型增生、导管原位癌的鉴别中非常关键。不过,间皮细胞也会表达CK5/6/14,因此腹腔或胸腺活检及细胞学标本中,该组指标不适用于鳞状细胞癌与间皮瘤的鉴别。
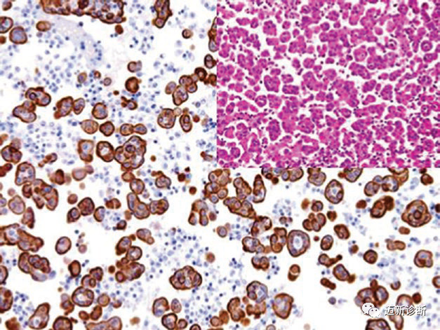
图2. 胸腔积液标本中,间皮瘤细胞,CK5阳性。
该组指标在胃肠道腺癌、生殖细胞肿瘤、前列腺癌、甲状腺肿瘤、肝细胞癌、肾细胞癌中一般并不表达。最近的研究中,CK5/14的组合一般已被p63和p40所取代,因为后者多表达于腺体的肌上皮细胞与基底细胞的细胞核,以及鳞状上皮和尿路上皮中的基底细胞、中层细胞。
CK7表达于大部分导管上皮及腺上皮以及尿道的移行上皮。CK7是不同来源腺癌鉴别诊断的主要指标之一,因此不能单独用于原发和转移性腺癌的鉴别;CK7在间皮细胞为强阳性表达,因此不适用于腺癌和间皮瘤的鉴别。应用陷阱:腺癌与鳞癌鉴别诊断时,一定要牢记,某些部位的鳞状细胞癌中可有少量CK7阳性细胞,具体如头颈部、肺部、食管、宫颈,主要见于低分化癌。CK7也可表达于非上皮性肿瘤,如滑膜肉瘤中的上皮样成分。精原细胞瘤、卵黄囊瘤、前列腺癌、垂体肿瘤一般不表达CK7。CK20为中间丝蛋白,是成熟肠上皮细胞及胃肠道黏膜杯状细胞中的主要蛋白。结直肠腺癌、卵巢黏液癌中CK20总是阳性,移行细胞癌中阳性比例降低。Merkel细胞癌中,CK20呈核旁逗点状阳性。
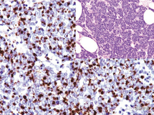
图3. Merkel细胞癌中,CK20呈特征性的核旁逗点状着色。

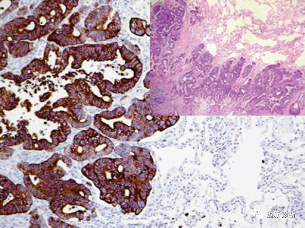
图4. 转移性结直肠腺癌,CK20强阳性表达。
泌尿道异型上皮反应性非典型与异型增生的鉴别中,CK20非常有用:正常及反应性移行上皮中,CK20的表达局限于伞细胞;原位癌的时候,则上皮全层表达。鳞状细胞癌、乳腺癌、前列腺癌、甲状腺癌、子宫内膜腺癌、间皮瘤中CK20总是阴性的。由于仅部分癌为CK20阳性,因此该指标有助于不同癌种的鉴别。与CK7一起联合应用,是鉴别不同类型癌的重要手段,详见前述。
CK8:一般与CK18形成异二聚体。CK8与CK18均为中间丝蛋白,表达于胚胎发育早期并在成人单层上皮中持续存在。CK8一般表达于非鳞状细胞癌,因此不能用于腺癌类癌的区分。少数间叶性肿瘤也可有CK8的表达,如平滑肌肿瘤、恶性横纹肌样肿瘤。CK10:中间丝蛋白,一般与CK1有关。CK10表达于角化型及非角化型鳞状上皮。日常工作中,CK10与CK13、CK14组成鸡尾酒抗体,用于鳞状细胞癌的标记。 CK13:表达于复层鳞状上皮的副基底层细胞、中间层细胞。一般与CK10或CK14组合成鸡尾酒抗体,用做鳞状细胞癌的标记。CK18:该指标为中间丝蛋白,表达于单层上皮细胞,可见于大部分非鳞状细胞癌,如来源未明的腺癌,神经内分泌癌,肝细胞癌,肾细胞癌。淋巴管及小静脉的内皮细胞也会表达CK18,此时如选择广谱CK或鸡尾酒方式联用的时候,免疫组化表现可能会类似脉管内癌栓。CK18也可表达于平滑肌细胞及平滑肌肿瘤。CK19:分子量最小的CK,可表达于单层上皮及复层上皮。大部分癌均为阳性表达,因此具体癌的分类时作用有限。甲状腺乳头状癌CK19强阳性,可联合其他标记如CD56等来鉴别甲状腺乳头状癌和甲状腺滤泡癌,后者的CK19一般为阴性或弱阳性。
迈迈:CK系列抗体,种类繁多,用途不一!值得一提的是,现在万象城AWC(中国)克隆系列国产CK抗体性能表现优异,得到众多病理老师的赞许哦!
抗体名称 | 产品编号 | 克隆号 | 阳性部位 |
CK5&6 | MAB-0744 | MX040 | 胞质 |
CK7 | MAB-0828 | MX053 | 胞质 |
CK8 | MAB-0670 | MX004
| 胞质 |
| CK8&18 | MAB-1002
| MX004+MX035
| 胞质 |
CK14 | MAB-0832 | MX057 | 胞质 |
| CK17 | MAB-0833 | MX058 | 胞质 |
| CK18 | MAB-0737
| MX035 | 胞质 |
CK19
| MAB-0829 | MX054
| 胞质 |
CK20
| MAB-0834 | MX059
| 胞质 |
CK(PAN)
| MAB-0671 | MX005
| 胞质 |