福州万象城AWC(中国)生物技术开发有限公司


万象城AWC(中国)

产品搜索
当前位置:万象城AWC(中国) > 新闻资讯 > 热点聚焦

“迈迈”病理周读笔记第五期 | 上皮性肿瘤诊断免疫组化指标(二)

发布时间:2021-4-3 10:01:50



前言:


前期文章,我们对上皮性肿瘤诊断免疫组化指标中的CK系列进行了详尽编译介绍。不过,实际工作中,上皮性肿瘤诊断还有很多其他免疫组化指标,如黏蛋白、紧密连接蛋白(Claudin)、某些具有分化谱系特征的标记p63和p40等,但由于篇幅所限,本期将重点介绍黏蛋白、紧密连接蛋白,其他上皮标记还请各位老师保持关注,静待下期哦。



图片


上皮性肿瘤诊断免疫组化指标


二、黏蛋白

黏蛋白(Mucin)是一组高分子量、高糖基化的蛋白,主要由上皮细胞合成,具体由75%的糖类及25%的氨基酸构成,可形成凝胶状物质。黏蛋白位于上皮细胞表面,其功能是润滑,或作为化学屏障发挥保护作用。有些黏蛋白也是腺体分泌产物的重要组成部分,如涎腺。

在人类,现在已经确定了15种以上的黏蛋白。这些黏蛋白可分为两大类,且分别由不同的基因编码。第一大类包括了有凝胶形成和分泌型的黏蛋白,具体如MUC-2、MUC-5AC、MUC-5B、MUC-6;第二大类为膜结合型黏蛋白,具体如MUC-1、MUC-3A、MUC-3B、MUC-4、MUC-12、MUC-13、MUC-17。
日常工作中,PAS和阿辛兰染色联合是极为有用的广谱黏蛋白染色方法。黏蛋白的表达情况在某些肿瘤及组织类型是有特异性的,因此可用于相应类型细胞来源肿瘤的分类。现在也有很多特异性抗体用于相应黏蛋白的标记,详见下述。


1



MUC-1

这一黏蛋白还有很多其他名称,如我们更为熟悉的上皮膜抗原(epithelial membrane antigen,EMA)及CD227、Ca15.3、episialin。这是一种跨膜糖蛋白,由胞质内结构域和细胞外结构域构成。该蛋白也是胃黏液的重要组成部分之一,可保护胃黏膜。

多种类型的上皮细胞均高表达EMA,主要为腺上皮及这类上皮来源的肿瘤;鳞状细胞癌和尿路上皮癌中表达程度极低。EMA为阴性的肿瘤类型则主要有:基底细胞癌、肾上腺皮质肿瘤、恶性黑色素瘤、肝细胞癌、生殖细胞肿瘤(如精原细胞瘤、胚胎性癌、卵黄囊瘤)。

需要注意的是,EMA并非特异性上皮标记,可广泛表达于非上皮的肿瘤及细胞类型,如间变性大细胞淋巴瘤、浆细胞肿瘤、脑膜瘤、上皮样间皮瘤、神经束膜瘤、滑膜肉瘤、上皮样肉瘤、神经源性肉瘤。结节性淋巴细胞为主型霍奇金淋巴瘤中也常见EMA表达。

由于EMA为高度糖基化的黏蛋白,而部分抗体检测的是糖类结构域,因此不同抗体的染色结果可能会有显著差异。癌中的EMA过表达,与预后差有关。

图片

图1. (左)非典型脑膜瘤中的EMA阳性表达;(右)神经源性肉瘤中的局灶EMA阳性表达。

 

阳性表达模式:细胞膜或胞质。

推荐阳性质控组织:阑尾,扁桃体。



2



MUC-2

MUC-2主要由胃和小肠黏膜、支气管黏膜及涎腺中的杯状细胞合成,保护黏膜免受机械及感染因素的侵害。同时,MUC-2也是结肠、胃、胰腺、乳腺、卵巢黏液腺癌的标志物。

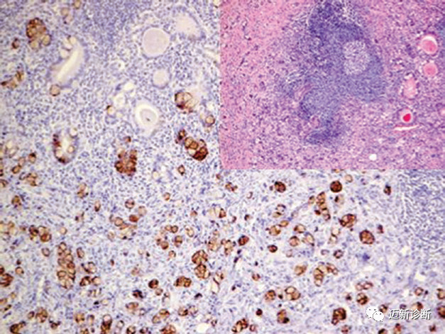
图片

 图2. 阑尾黏液腺癌,肿瘤细胞表达MUC-2。


3



MUC-3

这一黏蛋白在人类有两种密切相关的类型,分别为A型和B型,主要表达于小肠黏膜,为膜结合蛋白。MUC-3同时也是乳腺浸润性癌和胃癌的标志物。这一标记的过表达与预后差有关。


4



MUC-4

这是一种跨膜黏蛋白,由α和β链组成,见于多种类型上皮细胞的顶端。该蛋白的功能与细胞黏附调节、细胞表面信号传导有关。MUC-4高表达于肺、胃、胰腺的腺癌及胰腺上皮内瘤变(pancreatic intraepithelial neoplasia,PanIN);同时也是低级别纤维黏液肉瘤、硬化性上皮样纤维肉瘤的敏感、特异性标记物。


5



MUC-5AC

该指标是由同一基因编码的A和C两种不同蛋白。这一黏蛋白主要见于胃黏膜和呼吸道的表面,同时也是很多癌的标记物,如食管癌、胃癌、结肠癌、胰腺癌、胆管癌、子宫内膜癌、宫颈管腺癌、卵巢黏液癌。


6



MUC-5B

这一黏蛋白主要表达于舌下腺、气道系统的黏液腺。


7



MUC-6

这是胃黏膜保护蛋白中的主要类型,在胃部由幽门腺合成,同时可见于胆囊、胆管、胰腺导管黏膜和结肠黏膜、宫颈管黏膜。MUC-6是乳腺浸润性导管癌、胃腺癌的标记。


8



MUC-16

这一黏蛋白也称为CA125,是卵巢浆液性癌、子宫内膜样癌、透明细胞癌的标记,同时也可表达于胰腺癌。

三、紧密连接蛋白

紧密连接蛋白(Claudin)是一组完整的跨膜蛋白,具体包括23种类型。这类跨膜紧密连接相关蛋白可见于所有具有紧密连接的细胞类型,包括上皮细胞及内皮细胞。紧密连接蛋白形成相邻细胞之间的屏障及孔隙,并调节跨越细胞间隙的分子转运。

日常免疫组化检测中,最常用的指标为Caludin-4,用于鉴别胸腔及腹腔积液中的反应性间皮细胞和癌细胞。正常情况下,Caludin-4表达于大部分上皮细胞及相关的癌,如结直肠腺癌、卵巢癌、乳腺癌、前列腺癌,而间皮细胞为阴性。Caludin-4表达还可见于内皮细胞及黏膜下细胞、肌间神经丛。 

图片

图3. 腹水中的卵巢癌细胞,免疫组化Claudin-4阳性。


未完待续......

1









迈迈:现在已经确定的黏蛋白种类有15种以上,而紧密连接蛋白更是多达23种,如何更好选择抗体应用于临床病理诊断,我们归集汇总下述表格以供病理老师们日常工作参考。

抗体名称

克隆号

阳性对照

阳性部位

CA 125*

MX055

卵巢浆液性癌、输卵管

胞质/胞膜

EMA

E29

食道鳞癌、脑膜瘤

胞质/胞膜

MUC-2

M53

胃腺癌、小肠组织
MUC-48G7结肠、肺腺癌

MUC5AC

45M1胃组织、胃腺癌胞质
MUC-6MRQ-20胃组织、胃腺癌

胞质

Claudin-1多克结肠癌

*标为万象城AWC(中国)克隆产品 


更多信息,请详询:800-8581156或400-889-9853